Is your smile held back by broken, chipped, or missing teeth? We offer beautiful porcelain crowns and bridges to restore the appearance of your smile and maintain the functionality of your teeth, allowing you to chew properly and comfortably.
Contact us today to schedule a consultation and find out how crowns and bridges can help you regain confidence in your smile and ability to chew well.
What are Crowns and Bridges?
Crowns are porcelain restorations (usually all porcelain but can have a metal base) used to restore teeth that are broken, chipped, misshapen, decayed, severely worn-down, or teeth that have very large worn out restorations (fillings, inlays, onlays).
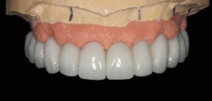
Bridges are porcelain restorations (usually porcelain but may have a metal base for increased strength) used to replace missing teeth in cases where there are remaining teeth in front of and behind the missing tooth.
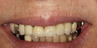
Over time, teeth can become weak and even begin to crack or chip. This not only hinders the natural appearance of your smile, it can interrupt proper chewing ability and makes your teeth vulnerable to further damage and decay. In cases where teeth are already missing, the remaining gaps and spaces can compromise the health of remaining teeth. Our durable and long-lasting crowns and bridges can help restore the natural beauty and full functionality of your mouth.
Porcelain Crowns
When tooth enamel is weak or damaged, a tooth-shaped cap called a crown can be placed over the existing tooth. A crown will protect and restore it to its correct size, shape and strength, as well as improve overall appearance. Porcelain is one of the most durable materials used in dental restorations, and they are customized to match your exact tooth shape and color.
Porcelain Bridges
In instances where teeth are missing, replacing absent teeth can help maintain the functionality of your bite and restore the natural beauty of your smile. This dental prosthetic can be customized to match the exact shape and color of your existing teeth for seamless treatment and natural looking results. It consists of dental crowns on the remaining natural teeth, with a false tooth attached/bridged in between them. This single unit prosthesis is cemented onto the remaining teeth on each side of the missing tooth, filling the space; allowing proper chewing. Additionally, this also prevents other teeth from drifting into the space of the missing tooth, which would only cause further problems over time.
Why Choose Porcelain Crowns and Bridges at the Dental Implant Center?
Board certified Prosthodontist, Dr. McFadden uses the latest in diagnostics and restorative treatments to provide the best, most immediate results for his patients. The extent of your treatment will depend on the level of correction needed. During your consultation, all instructions regarding your treatment aftercare will be discussed with you. Our porcelain crowns and bridges are long-lasting and can be cared for using proper dental hygiene and regular professional cleanings. These restorative options can help you get back to talking, laughing, eating, and engaging in social situations without having to worry about your smile.
What is the cost?
The cost varies greatly depending upon the region and doctor’s training. Crowns can range from $1200-2400 per tooth. Bridges: It depends on the number of teeth involved, but you can estimate about the same price as crowns, per tooth on the bridge.
Porcelain Crowns

Why Choose Porcelain Crowns and Bridges at the Dental Implant Center?

