Home Smile Gallery

Smile Gallery

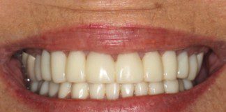
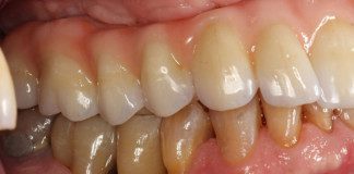
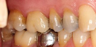
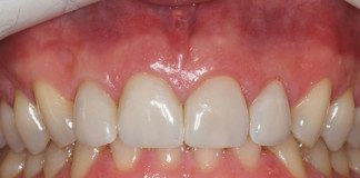
The gallery of images you are about to view contain photos illustrating dental and surgical procedures. These images depict clinical treatment and may not be suitable for all visitors. They are intended only to provide an example of obtained results.