
1 of 24
Pre-operative pictures are taken as a reference. This picture is called “Patient in repose”. This view shows the face with the muscles at rest. It also gives valuable information regarding the length of the teeth relative to the lip, at rest. We use +2 mm meaning that it is “ideal” in most of the population to show 2 mm of the front two teeth when the face has no expression (no muscle tension).
This picture is also “in repose” but we ask the patient to slightly open their mouth so that the upper front teeth are just slightly visible. As you can see here, the patient only shows about 0.5 mm of her upper front teeth. Studies have shown that, with aging, our upper lip gets longer and thereby covers more of our upper front teeth. Conversely, the lower front teeth are exposed more as the lower lip shows the effect of years of gravity and sagging. When we restore a patient to a youthful smile, we try to add length to the upper front teeth until they show 2 mm in this view.
Fully animated smile. This shows us a patient’s true smile in social settings. This is a better reference than the business smile.
This is the before of a diagnostic wax-up. We take imperfect teeth and make them perfect with wax (next picture). Note: this is not the patient being shown in this case report.
This is the diagnostic wax-up. Wax has been added to make the teeth “ideal”. Note: this is not the patient being shown in this case report.
Full mouth temporary crowns. These crowns were made from a diagnostic wax-up. A diagnostic wax-up is done by the dental lab where wax is used to add to the deficient teeth. The diagnostic wax-up is the Prototype (road map) used to restore the teeth to an “ideal” form.
This is called a “master cast”. This cast is the “working cast” from which the final porcelain crowns are fabricated. It is made from the final impression. Because the final impression was perfect, this cast is as close to the exact representation of the mouth as possible with today’s materials. Many studies have shown that this analog (impression) technique is still more accurate than the digital scans made from intra-oral scanners. Intra-oral scanners are most accurate for single crowns and their accuracy decreases with each additional crown. This technology will replace gooey impressions someday as advances are made. For today, do not trust an office that only has the digital scanners to make multiple unit restorations. Science does not support this technique for multiple unit crowns and, especially full arch treatment.
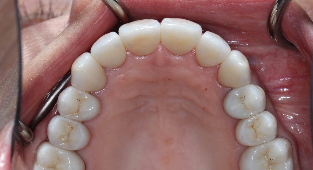
Final EMAX (lithium disilicate) crowns on the master cast, occlusal view. Note the detailed proper anatomy of the crowns. Very few labs, less than 2% can or will make the teeth the proper form.
Final EMAX (lithium disilicate) crowns on the master cast, frontal view.
In today’s dental world we have two basic types of “porcelain” crowns and, neither is porcelain:
Both materials can be made to resemble natural tooth structure. Both are very hard materials. Lithium disilicate is easier to characterize. Both materials are harder than enamel which means they will wear (abrade) natural teeth. As a precaution, we like our patients to wear a mouthguard, at night, to prevent undue wear of the natural teeth.
In today’s dental world we have two basic types of “porcelain” crowns and, neither is porcelain:
- Lithium disilicate (EMAX)
- Zirconia
Both materials can be made to resemble natural tooth structure. Both are very hard materials. Lithium disilicate is easier to characterize. Both materials are harder than enamel which means they will wear (abrade) natural teeth. As a precaution, we like our patients to wear a mouthguard, at night, to prevent undue wear of the natural teeth.
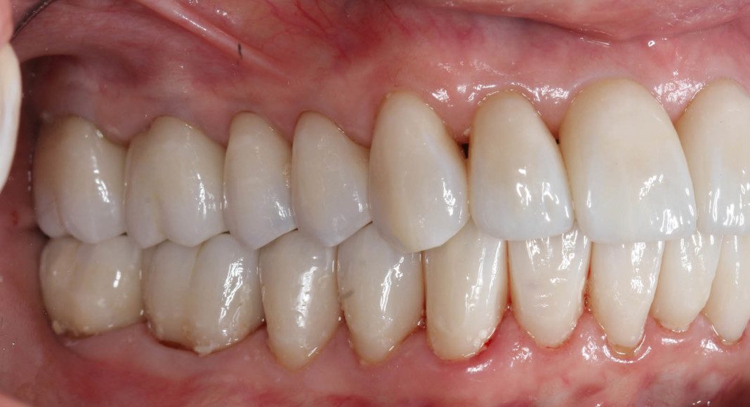
Upper final crowns, lower temporary crowns. I do not believe in attempting to deliver crowns in both jaws at the same time. Because the upper jaw is the most important in regard to aesthetics, I prefer to place them, first. When attempting to deliver both arches at the same time, there is usually a lot of bite adjustment. This scratches the crowns and makes them rough like sandpaper. This then wears the porcelain faster and it feels rough to the patient.





