For teeth that are misshapen or a different color than you’d like, we offer long-lasting, natural looking aesthetic restorations. Our bonding, inlays, onlays, and porcelain veneers are made of the most durable materials in the industry. They provide beautiful, natural looking results.
Contact us today to schedule a consultation and find out how aesthetic dentistry can help maintain the appearance and functionality of your smile.
What is Aesthetic Dentistry?
Many People hide their smiles because of teeth that are chipped, discolored or misshapen. We’ve all seen a person who has one or two teeth that are a different color than the others. It stands out like a beacon in the night. That doesn’t have to be the case when fixing just one or two teeth, though. When done properly, these restorations can be indistinguishable from the other teeth. Our aesthetic dentistry services help restore confidence in your smile without compromising the bite or functionality of your teeth. Simply put, Aesthetic dentistry equals teeth that match and look real!
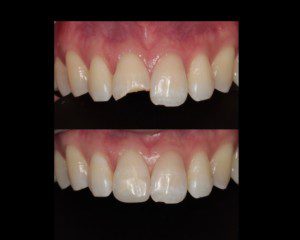
Bonding
During this process, a tooth-colored resin material is used to reshape and restore your teeth. First, the proper shade is chosen. Then the resin is carefully applied to the tooth and hardened with a specially-designed light to create a strong, durable restoration. Then it is s reshaped to the correct proportion. This is a cost-effective procedure that can help improve your smile without an extensive procedure.
Teeth Whitening
Teeth whitening has surged in popularity in recent years. While teeth are generally white, tooth enamel can vary in shade and become discolored over time. Discoloration can stem from various causes, including diet, lifestyle, injury, or illness. One of the most common desires people have for improving their smiles is achieving whiter teeth.
We offer two effective whitening solutions:
- In-Office Professional Whitening (Zoom): This method provides immediate results and is performed under the supervision of dental professionals, ensuring safety and effectiveness.
- Take-Home Whitening Kits: These kits include custom trays designed to fit your mouth precisely, preventing the whitening agents from irritating your gums.
Onlays/Inlays
When teeth have sustained too much damage to warrant a dental filling but are not damaged enough to warrant a crown, porcelain onlay/ inlays may be the ideal option to protect and strengthen affected teeth. Porcelain onlays/ inlays maintain a long life span and protect your teeth against future damage or decay. The shades are custom matched to your other teeth so they blend in with your other teeth, very naturally.
Dental Veneers
Veneers (sometimes called porcelain veneers or laminate veneers) are wafer-thin, custom made shells of porcelain designed to cover the front surface of teeth. They improve appearance, color, size, and strength. Veneers are comprised of durable porcelain and are made to match your natural tooth color. They are a good option for teeth that are discolored, either from root canal treatment, stains from tetracycline or other drugs, or from large fillings that have discolored the tooth. They’re also useful for improving misshapen teeth; teeth with gaps, or crooked teeth. They’re useful in many ways and can be beautiful, natural looking restorations when done properly. Because there is less drilling on the tooth to prepare it, veneers are an easy way to improve your smile with minimal drilling and without compromising the health of your teeth.
Which Aesthetic Option is Right for Me?
During your consultation, we use advanced diagnostics and imaging to accurately evaluate your individual needs. This helps determine the amount of correction necessary to provide maximum results.
What is the cost?
The cost varies greatly depending upon the region and doctor’s training. Bonding can range from $150-500 per tooth. Onlays, inlays and veneers can range from $1,000 – $2,000 per tooth.
Frequently Asked Questions
What does aesthetic dentistry cover?
Aesthetic dentistry includes services such as bonding, inlays/onlays, porcelain veneers, and whitening to restore appearance without compromising function.
How does dental bonding work?
A tooth-colored resin is applied, hardened with a special light, and then shaped to blend seamlessly with your natural teeth.
What are inlays and onlays used for?
When a tooth has too much damage for a filling but not enough for a full crown, porcelain inlays or onlays strengthen and protect the area while preserving more natural tooth structure.
When should I consider porcelain veneers?
Veneers are ideal for teeth that are discolored, misshapen, with gaps, or slightly crooked, providing a custom, natural looking restoration with minimal drilling.
What whitening options are available?
We offer in-office Zoom whitening for immediate results and take-home custom tray kits for gradual whitening under supervision.
How is the right aesthetic option determined?
During consultation we use advanced diagnostics and imaging to evaluate your individual needs so we can select the treatment that provides maximum cosmetic and functional benefit.
Bonding
Onlays/Inlays
Dental Veneers