Full Mouth Dental Implant is the very best method
of replacing all the teeth in one jaw or the entire mouth (both jaws). This is easily the most difficult of all dental treatments. Precision is the key to success. Most doctors who offer this treatment are Board Certified Specialists and even with this advanced training great results are a significant challenge.
Are you facing the challenge of multiple missing teeth or severe dental issues that impact your ability to chew, speak, and smile with confidence? Full mouth dental implants offer a permanent, natural-looking solution, that can enhance your oral health and quality of life. Contact us today to schedule a consultation and find out how a full mouth treatment can help you.
What Are Full Mouth Dental Implants?
Full mouth dental implants, are also known as full arch dental implants or implant-supported bridges or dentures. It’s a comprehensive tooth replacement option designed to restore an entire arch of missing teeth. Unlike traditional dentures, which rest on the gums and may require adhesives for stability, full mouth dental implants are securely anchored into the jawbone by the use of implants, providing a stable and long-lasting foundation for replacement teeth. In cases where all teeth need to be replaced, a full mouth treatment using dental implants is an effective option for many patients. A full mouth implant treatment is only way to fully restore appearance, comfort and full function when compared to healthy natural teeth.
Full mouth dental implant procedure: What to Expect
The journey to full mouth dental implants typically begins with a comprehensive evaluation and treatment planning process. We will assess your oral health, including the condition of your teeth, gums, and jawbone, to determine if you are a suitable candidate for the procedure.
If you are a candidate for full mouth dental implants, the treatment process generally involves several key steps:
- Extraction (if necessary): Any remaining damaged or decayed teeth may need to be extracted to make way for the dental implants.
- Sedation: We offer both IV sedation and oral sedation. Most often, with larger treatments like full mouth restorations, we use IV sedation for your ultimate comfort. For smaller, shorter surgeries, many patients opt for oral sedation. You can read more about these in detail on our page about sedation.
- Bone Grafting (if necessary): In cases where the jawbone has deteriorated due to tooth loss or other factors, bone grafting may be performed to augment the bone and provide adequate support for the implants. When extractions are needed, the bone grafting is typically done at that same visit.
- Implant Placement: The titanium implant (posts) are surgically placed into the jawbone, where they will fuse with the surrounding bone through a process called osseointegration. The osseointegration process takes a few months. This integration ensures a strong and stable foundation for the replacement teeth.
- Provisional/temporary teeth: You will never be without teeth. We will make you temporary teeth to be used while the implants heal and integrate with the bone. We will give you fixed (screwed-in) temporaries whenever possible. This is always our goal. However, with that said, there are some patients (for instance, denture wearers who present for treatment with much bone loss), may need removable temporary teeth during the waiting phase.
- Healing and Osseointegration: After implant placement, a period of healing is necessary to allow the implants to integrate with the jawbone. This integration occurs at the microscopic level, as the bone cells grow and adhere to the surface of the implant, effectively locking it in place. Osseointegration is essential for the long-term success of dental implants, as it ensures that the implants are securely anchored within the jawbone and can withstand the forces of chewing and biting. The process typically takes a few months to complete, during which the implant gradually becomes integrated with the surrounding bone tissue. Once osseointegration is achieved, the dental implant provides a stable base for the attachment of prosthetic teeth, restoring both function and aesthetics.
- Restoration: Once the implants have fully integrated, custom-made prosthetic teeth (such as crowns, bridges, or implant-supported dentures) are fabricated. Finally, they are attached to the implants, completing the restoration of your smile. The final prosthetic teeth can be customized in many ways, including:
- Size and shape of teeth: The size and shape of the prosthetic teeth can be customized to blend seamlessly with the patient’s natural dentition and facial features, ensuring a harmonious and aesthetic result.
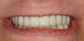
- Color Matching: Our lab can meticulously match the color of the prosthetic teeth to the natural teeth, creating a seamless and natural-looking smile. (For example: Replacing all upper teeth for a patient who still has all their lower natural teeth. They can make them match exactly, for a natural look). Alternately, you can have them made any shade you choose. So, if you want a Hollywood, bright-white smile, you can have it. (Here’s an example of this). If you want age-appropriate teeth that are not so bright, we can make them look very natural by giving them some character and a little color. (Here’s an example of this) It’s YOUR smile- so it’s YOUR choice!
- Gum Contouring: For implant-supported restorations that involve replacing missing gum tissue, we can often (but not always) customize the contour and appearance of the gums to achieve a lifelike and aesthetic result.
- Implant Positioning: The positioning of the dental implants can be customized to optimize stability, function, and aesthetics, taking into account factors such as bone density, occlusion, and smile line. This is meticulously planned from the very beginning.
- Prosthetic Design: Advanced digital technologies allow for precise design and fabrication of implant-supported restorations, enabling us to create prosthetic teeth that are tailored to any patient’s unique oral anatomy and functional requirements.
- Delivery of Final Restoration(s): The final restoration is first tried in and checked for proper fit and comfort. Once approved by both doctor and patient, it is screwed onto the implants and the access holes filled with tooth colored composite, so they are not visible. (These restorations can only be removed by a dentist.)
Benefits of Full Mouth Dental Implants:
The benefits of full mouth dental implants extend beyond just aesthetics. Some key advantages include:
If you are a candidate for full mouth dental implants, the treatment process generally involves several key steps:
- Improved Functionality: With full mouth dental implants, you can enjoy restored chewing ability and speech clarity, allowing you to eat your favorite foods and engage in social interactions with confidence. No more worrying about teeth slipping, clasps showing, etc.
- Enhanced Oral Health: Dental implants stimulate the jawbone, helping to prevent bone loss and preserving facial structure. Unlike traditional dentures, which can contribute to bone resorption over time, implant-supported restorations promote long-term oral health.
- Durability and Longevity: Dental implants are designed to be a permanent solution for tooth loss, offering exceptional durability and longevity when properly cared for. With regular oral hygiene and routine dental check-ups, full mouth dental implants can last a lifetime.
- Natural-Looking Results: Full mouth dental implants are custom-designed to blend seamlessly with your natural teeth, providing a lifelike appearance and restoring your smile to its full potential.
- Confidence: Feeling good when you look in the mirror and see a natural-looking smile does wonders for your self-esteem. Improved functionality for speaking and comfort for eating give a boost in self-confidence. The cherry on top of it all is the benefit of overall enhanced oral health, which affects our overall health in ways many people don’t realize. Addressing dental issues comprehensively results in improvement in quality of life, increased comfort, improved aesthetics, and renewed sense of empowerment.
What Can I Expect from a Full Mouth Dental Implant?
The extent of your treatment process can depend on your individual condition and preferences, but it begins with the placement of dental implants in the jawbone. Modern technology allows us to place fixed temporary bridges on the implants on the day of implant placement in many cases. This technology provides us a very easy transition from bad or no teeth to a beautiful set of temporary teeth in one visit. The final, permanent implant bridges will fully restore function and comfort. It is the very best option on all of dentistry.
WHO Should Do It?
A prosthodontist is ideally suited to oversee full mouth dental implant treatment due to their specialized training and expertise in both restoring and replacing teeth. As dental specialists, prosthodontists undergo extensive additional education and clinical training focused specifically on the restoration and replacement of missing teeth, including the intricate process of dental implant placement and restoration. Their in-depth knowledge of oral anatomy, occlusion, and prosthetic materials allows them to develop comprehensive treatment plans tailored to each patient’s unique needs, ensuring optimal outcomes in terms of function, aesthetics, and long-term oral health. With their advanced skills and dedication to excellence, prosthodontists provide patients with the highest level of care and expertise throughout every stage of the full mouth dental implant process.
How Can I Maintain My New Teeth?
Cleaning your implant bridges is the same as your natural teeth. By brushing, flossing, using a Waterpik and regular dental hygiene patients can easily maintain their new teeth. Implants do not decay, so, though we don’t recommend it, homecare is actually less important than with teeth.
We provide all our Full Mouth Implant patients with complimentary nightguards. A nightguard is a plastic bite wafer worn at night to keep the upper and lower teeth from touching each other. These are especially important for patients with a history of clenching or grinding (bruxism).
Cost of Full Mouth Dental Implants?
The cost varies greatly depending upon the region, doctor’s training, implant type, number of implants, the need for bone grafting and how many teeth we end up putting back (8, 10, 12 or 14). Overall cost of full mouth dental implant treatment can range from $40,000 to $80,000. Click here for information on financing options available.
Considerations
The While full mouth dental implants offer numerous benefits, it’s important to note that not everyone is a suitable candidate for the procedure. Factors such as overall health, oral hygiene habits, the condition of the jawbone and cost, all are taken into consideration during the evaluation process.
Additionally, full mouth dental implants may require a significant investment of time and resources, as the treatment process typically spans several months and involves multiple appointments. However, many patients find that the long-term benefits far outweigh the initial investment, allowing them to enjoy a renewed sense of confidence and well-being.
Conclusion
Full mouth dental implants represent a groundbreaking solution for individuals facing the challenges of extensive tooth loss or dental issues. By providing a permanent, natural-looking restoration that restores both form and function, implant-supported restorations can significantly improve your quality of life and overall oral health.
If you’re interested in learning more about full mouth dental implants and whether they’re the right option for you, we encourage you to schedule a consultation with us. Take the first step towards achieving a beautiful, healthy smile that lasts a lifetime. Our consultation is complimentary.
Frequently Asked Questions
What are full mouth dental implants?
Full mouth dental implants (also called full-arch implants or implant-supported bridges/dentures) are a comprehensive tooth-replacement option that restores an entire jaw or both jaws by anchoring replacement teeth securely into the jawbone, unlike traditional dentures.
Who is the best dental specialist for full mouth dental implants?
A prosthodontist — a dental specialist with extensive training in both restoring and replacing missing teeth, including implants — is ideally suited to oversee full mouth dental implant treatment to ensure optimal function and aesthetics.
What does the full mouth implant procedure involve?
The process typically begins with a comprehensive evaluation, may include extractions (if any remaining teeth are damaged), sedation (often IV), bone grafting if needed, placement of titanium implants which integrate with the bone, temporary teeth during healing, and finally custom prosthetic teeth mounted on the implants.
What are the main benefits of full mouth dental implants?
Full mouth dental implants restore chewing ability and speech, stimulate the jawbone to prevent bone loss, offer durability and longevity, provide natural-looking results, and boost confidence through an improved smile and oral health.
How much do full mouth dental implants typically cost?
Because the cost varies with region, doctor training, number of implants, bone grafting needs and how many teeth are restored (8, 10, 12 or 14), the overall cost for full mouth dental implant treatment can range from approximately $40,000 to $80,000.
How do I care for and maintain my new implant-supported teeth?
Caring for your implant bridges is similar to natural teeth: brush, floss, and use tools like a Waterpik, along with regular dental hygiene visits; although implants themselves do not decay, routine homecare and professional check-ups remain important and you will often receive a complimentary night-guard if you have a history of grinding.
Am I a suitable candidate for full mouth dental implants?
Not everyone is a suitable candidate — key factors include your overall health, oral hygiene habits, the condition of your jawbone, and budget; during the consultation these will be evaluated to determine if you can move forward with the treatment.



