
1 of 19
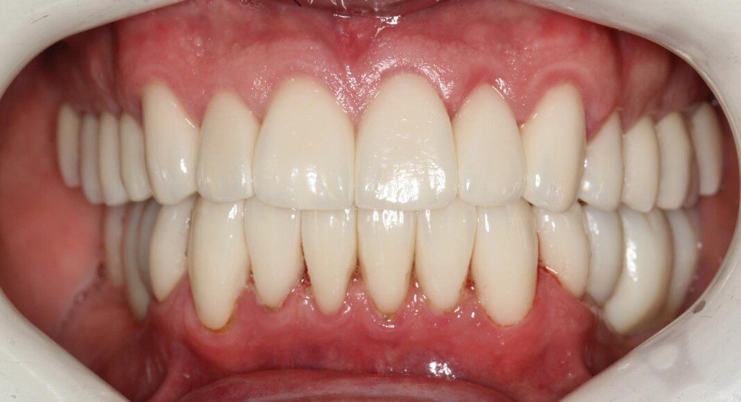
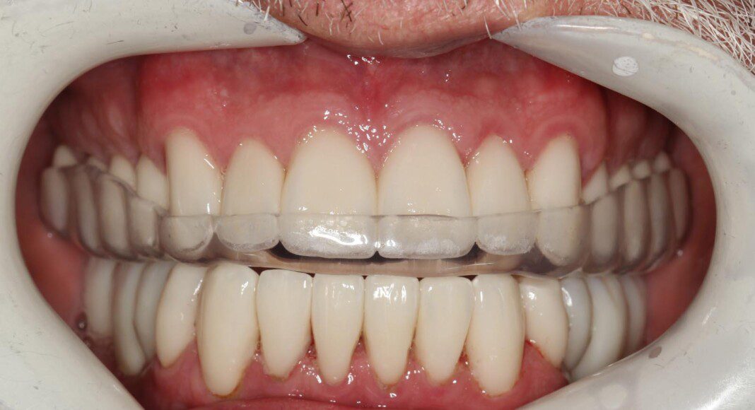
The most important part of any treatment for crowns or bridges is the FINAL IMPRESSION. For longevity of the crowns, it must have 100% of the margins of each tooth, clear and present. This is why most crowns and bridges fail on teeth… the dentist does not or cannot make an accurate final impression.
From the final impression, a master cast is fabricated. This cast will be used to make proper fitting crowns on the teeth and the implant.





