
1 of 25
Case 1: This patient had a lot of old dental work and a few missing teeth. She had old crowns that were all different shades and several back teeth had gum recession significant enough that the roots were exposed and causing her sensitivity. She wanted a beautiful smile and teeth that weren’t sensitive to cold or sweets.
Pre-treatment, lips retracted. Notice the exposed roots on several of the back teeth, and the metal margins around some of the crowns? Also, she did not like the gum line above her two front teeth being uneven.
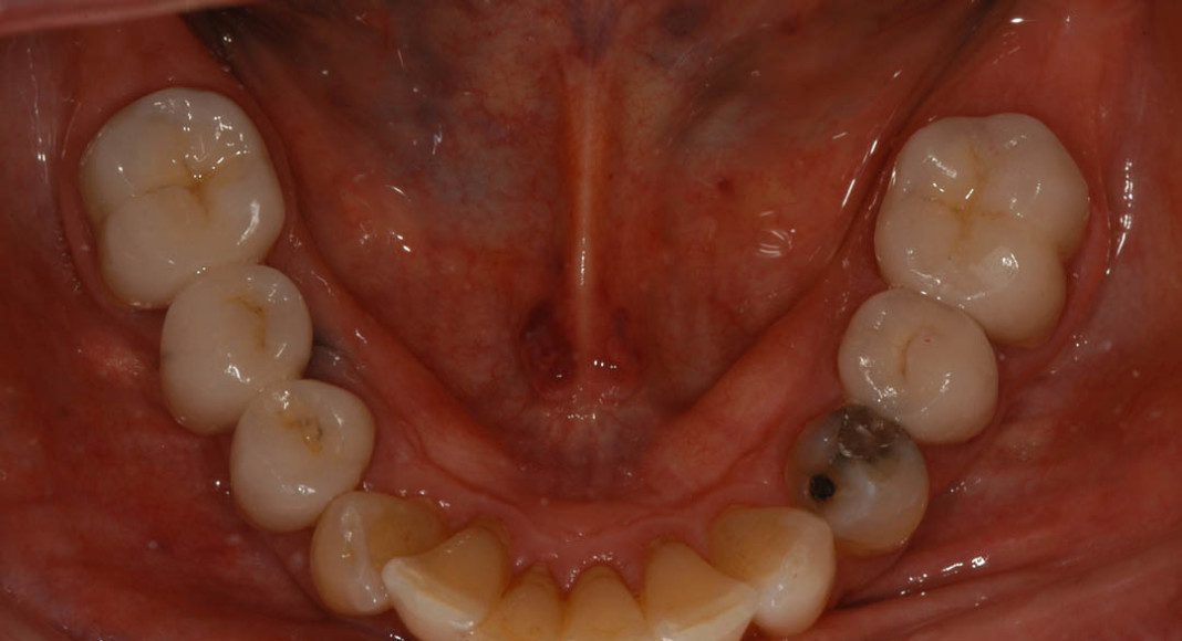
Pre-treatment, lower arch view. We removed the broken lower right molar and replaced it with an implant and crown, placed two more implants on the other side with a three tooth fixed implant bridge, and made crowns for two other teeth.
Pre-treatment, left lateral view. Notice the exposed margins of the old crowns from all the gum recession? These areas were very sensitive when she ate cold or sweet things. (We were able to correct that with the new crowns).
Final crowns and a bridge, lower arch. Her lower 8 front teeth were still in good shape, so we bleached them so she could choose a lighter shade with her final crowns and have a beautiful smile.
Case 2: This patient presented with one missing upper tooth and a mouth full of very old restorations of just about every kind. She was 88 when she came to us, and still had almost all of her natural teeth!
This is a perfect example of someone who fixed her teeth over the years, one tooth at a time. She had this work done by many different dentists over the years, and much of that dental work, later patched up by others.
She had quite a bit of gum recession and over the years, had many teeth patched just at the gum line when problems arose. She was diligent with her home care and saw the dentist regularly throughout her life.
Pre-treatment, right lateral view. (Notice the patchwork on several of these teeth near the gum line, where she’d had recession?)
Pre-treatment, lower arch view. Only one tooth needed to be removed; the lower left 2nd molar. She didn’t want any implants and still had plenty of chewing space, so we just made crowns for the teeth that really NEEDED them.
Final crowns, upper arch. (She didn’t need treatment on the upper left molar; it was still serving her well and didn’t have decay or problems. We figured, after 88 years, if it’s still strong and not posing any issues, leave it alone!)





