
1 of 67
Pre-op, Panoramic x-ray. Note: Excellent bone. Possibility of saving teeth. Patient interested but reluctant.
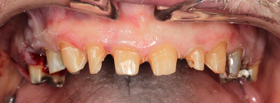
Patient wanted to see what longer, prettier teeth would look like. Crown preparations to prepare for crown lengthening and temporary crowns/bridge.
This is known as hard (bone) and soft tissue (gums) crown lengthening. To have loner teeth, many patients need their bone recontoured so that the gums do not grow back down to their original position.
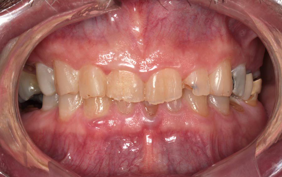
The patient returns six months later without his temporary bridge. His grinding caused their destruction. He was saving money for implants. He decided that he would rather have full mouth implants because he believed that his tooth would eventually fail if he saved them now. And he believed he could only afford this treatment once in his life. I agree with all these beliefs, for him. And we gave him six months to ponder his decision.
All upper teeth extracted, implants and bone filler placed. Not, we did not remove any bone and attempted to disturb the gums minimally.
Immediate temporary, implant bridge delivered. This is one day post-surgery and delivery of temporary.
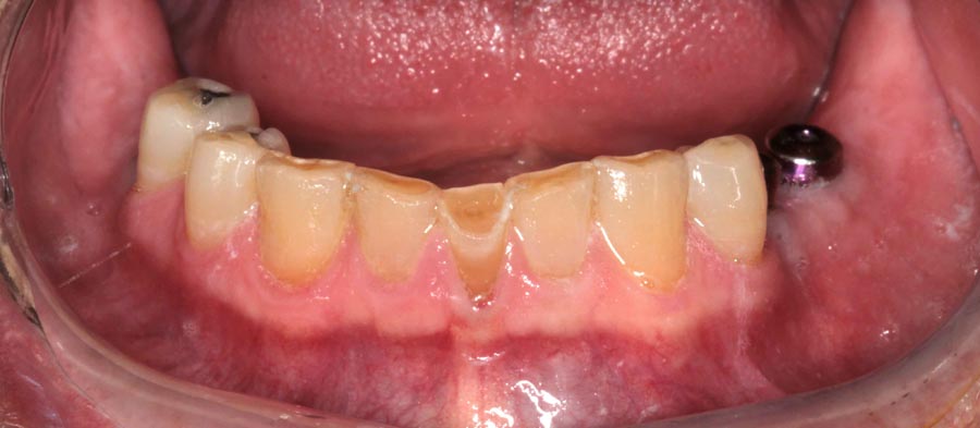
Three months post-surgery in the upper, the patient is ready to start the lower. Back, existing implants placed 9 months earlier when we tried to save teeth.
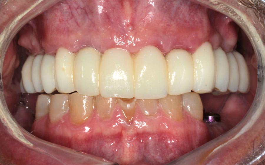
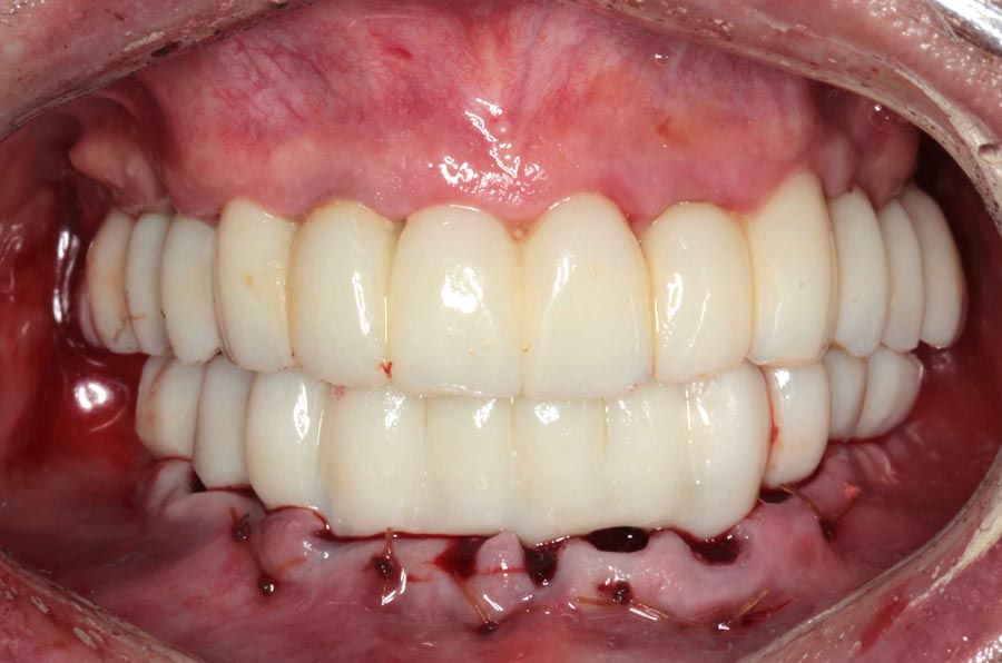
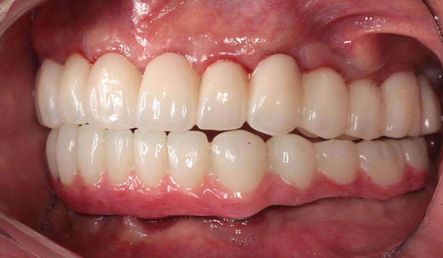
Three months later the patient returns for a series of appointments to fabricate his final prostheses. This is when we note that his homecare is slipping. Notice the redness at the gums that wasn’t seen previously. He was alerted to the issue and educated on how to improve.
The patient liked his temporary bridges, so pictures are taken to send to the lab for duplication and any small improvements to pursue perfection. Full face smiling.
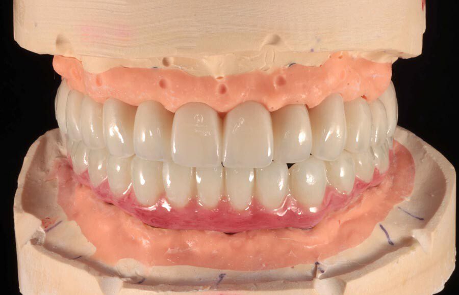
Prototype wax-up, frontal. Any imperfections or patient requests are changed in this prototype stage.
Right transition. We photograph the “transition” from prototype to gums in the event there have been changes since the final impression. Sweat every detail!
Color determination. Based on the patient’s preferences, we send these pictures to the lab for shade matching.
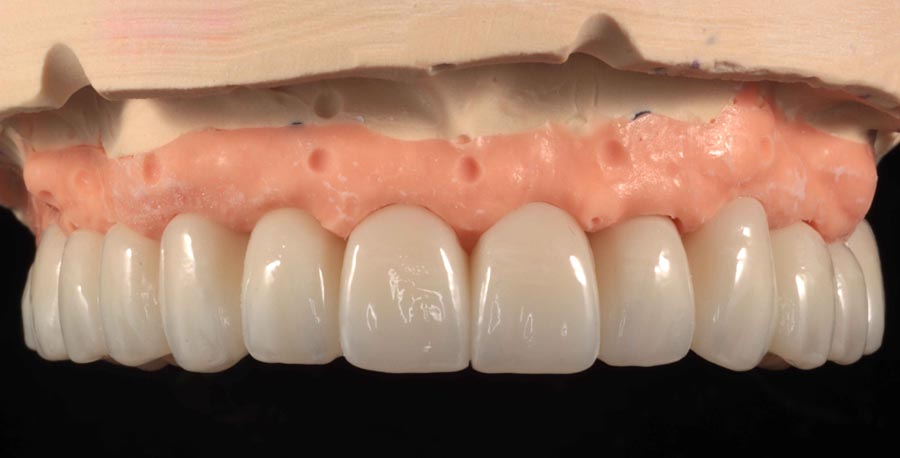
Gum color determination. When we plan for pink zirconia we attempt to match the patient’s gum color.
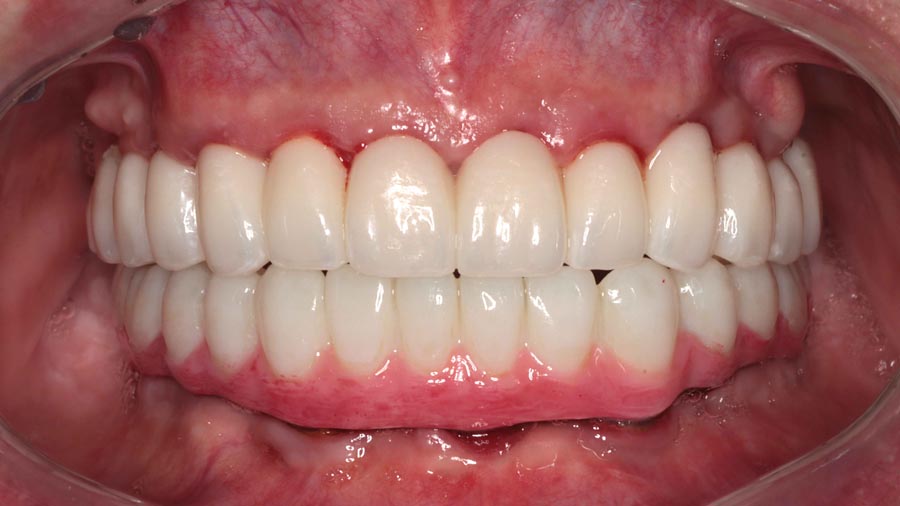
Final prostheses, intraoral, frontal. Homecare is still a problem. The final restorations are much kinder to the tissues and we hope this will resolve some of the inflammation.
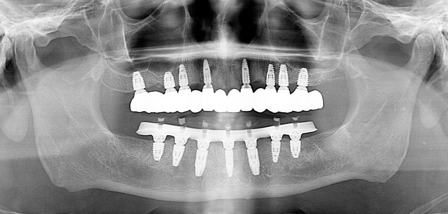
Post-treatment panoramic image. This treatment is as good as humans can do in 2025. This patient was undecided whether to keep his teeth. We gave him the chance to consider this option but later he decided to have full mouth implants. We changed gears and were able to deliver World Class outcomes. We continue to encourage better homecare. This patient is from out of state so we haven’t seen his tissues in almost a year.





