
1 of 32
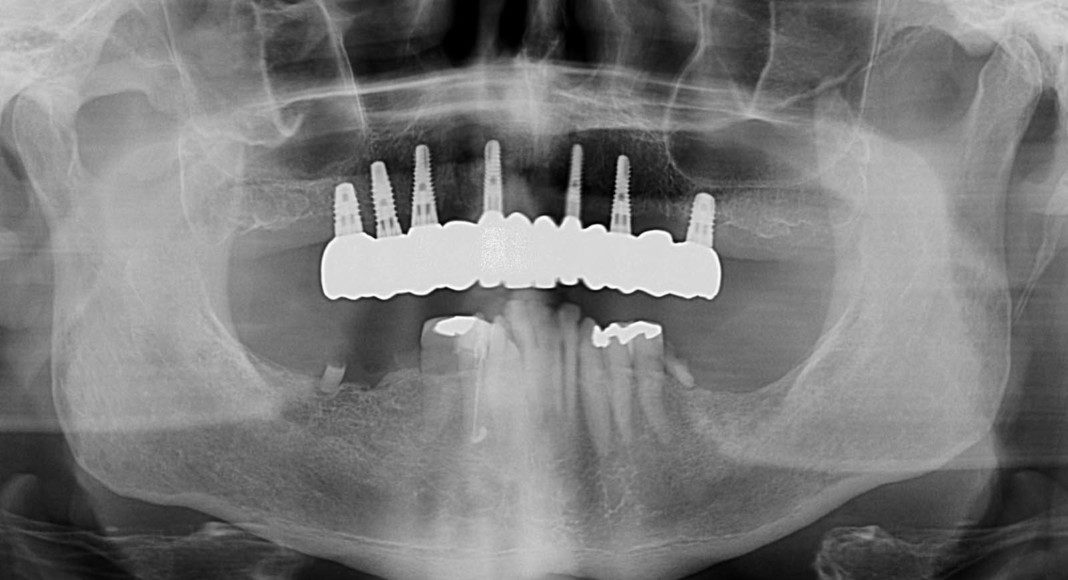
Day of surgery panoramic x-ray. Test implants were placed and adequate insertion torque was obtained (bone density and implant stability measured ≥ 25 Newton-centimeters) which qualifies multiple implants for immediate temporaries. All other teeth were extracted and a total of eight implants placed in the upper jaw (maxilla).
Day of surgery placement of the immediate, fixed temporary bridge on all implants. Not the convex contours to which the tissues can heal, ideally.
Prototype-wax-up-try-in. Used to determine length, width, overall smile, and bite (full face, smile).
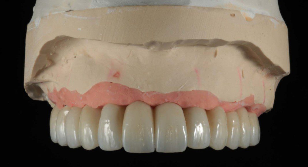
Zirconia bridge cemented to the titanium cylinders (tissue view). This is how screw retention (the superior implant connection) is achieved.
Mirror view of the tissues before delivery of the zirconia, implant bridge. Note the excellent volume of good, pink tissue (keratinized tissue). This good tissue is what allow the bone to remain healthy and full for many years if not forever.
Right lateral (mirror) view of bridge. Note the “normal” contours that mimic natural teeth. Slight metal exposure of implant #4. Nothing can be “perfect” and we try to keep this from happening. However, some patients have existing bone loss that prevents perfection.
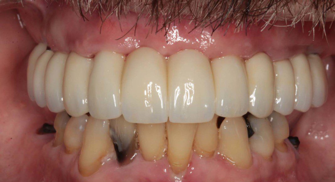
Mirror view of final implant bridge. The screw holes have been sealed with composite resin. This plastic filling material can be easily removed to remove and clean or service the bridge. We call this “retrievability”.





