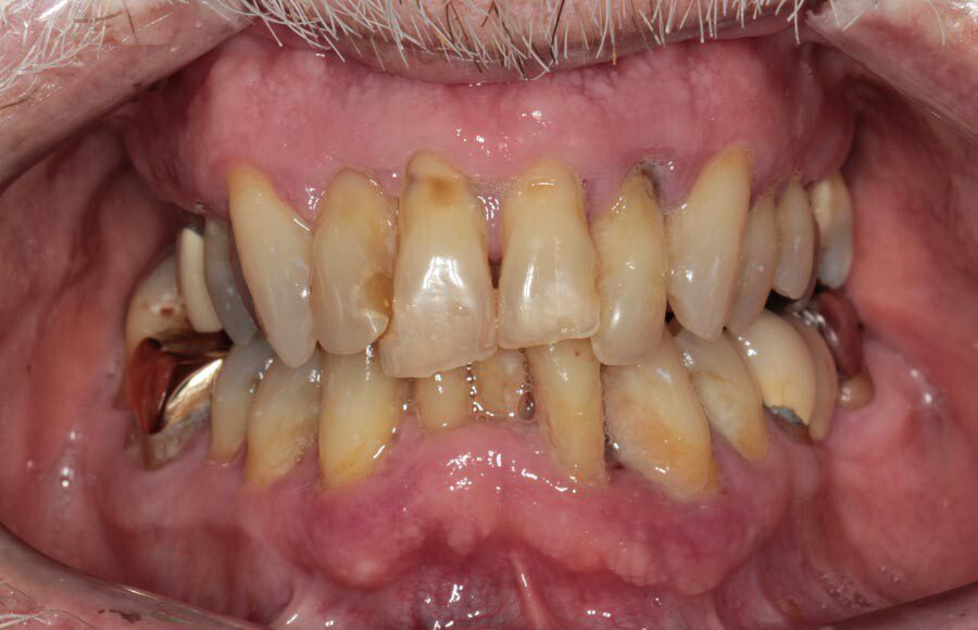
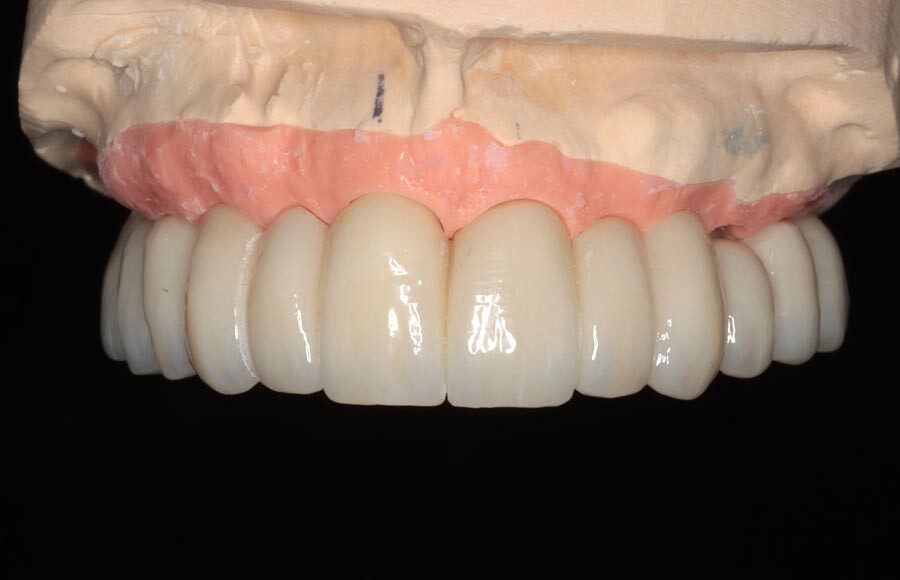
Smile GalleryImplant RestorationsFull Mouth Implant Restoration Post treatment, full face, smiling (frontal view) 1 of 43 Pre-op, frontal in repose (at rest) Pre-op, frontal full smile Pre-op, frontal full smile close up Pre-op, frontal full smile close up (left side view) Pre-op, frontal full smile close up (right side view) Pre-op, lips retracted, both jaws Pre-op panoramic radiograph First surgery, all maxillary (upper) teeth extracted, impression copings for provisional First surgery, all mandibular (lower) teeth extracted, impression copings for provisional Maxillary (upper) provisional bridge Mandibular (lower) provisional bridge Provisionals delivered at the end of first surgery, lips retracted, both jaws. Post-surgical panoramic radiograph 4 months post-surgery, full face, smiling 4 months post-surgery, full face, smiling (right side view) 4 months post-surgery, full face, smiling (left side view) 4 month post-surgery, lips retracted Upper splinted impression copings for impression to make master cast Lower splinted impression copings for impression to make master cast Wax prototype try-in, full face, smiling Wax prototype try-in, full face, smiling (right side view) Wax prototype try-in, full face, smiling (left side view) Wax prototype try-in, lips retracted, frontal view Excellent emergence of prosthetic teeth from the gum tissues (right side close up view) Excellent emergence of prosthetic teeth from the gum tissue (left side close up view) Definitive zirconia implant bridges on articulator (frontal view) Definitive zirconia implant bridges on articulator (right side view) Definitive zirconia implant bridges on articulator (left side view) Maxillary zirconia implant bridge on cast (frontal view) Maxillary zirconia implant bridge on cast (occlusal view) Mandibular zirconia implant bridge on cast (frontal view) Mandibular zirconia implant bridge on cast (occlusal view) Maxillary tissue contours on day of delivery (occlusal view) Maxillary tissue contours on day of delivery (frontal view) Mandibular tissue contours on day of delivery (occlusal view) Mandibular tissue contours on day of delivery (frontal view) Maxillary implant bridge (occlusal view) Mandibular implant bridge (occlusal view) Both zirconia implant bridges, lips retracted (right side) Both zirconia implant bridges, lips retracted (left side) Both zirconia implant bridges, lips retracted (frontal view) Post-treatment panoramic radiograph Post treatment, full face, smiling (frontal view)