
1 of 27
Pre-op smile picture. This patient had been missing her two front teeth for many years. She was wearing an Essix retainer (clear plastic retainer with denture teeth replacing the missing).
Panoramic radiograph of patient. Like so many patients, she had too many teeth for a small mouth. There was crowding and impacted teeth.
Lips retracted, frontal view with prosthesis. She is a Class 2, deep bite. Note that her lower front teeth are not visible (100% vertical overlap).
Lips retracted, frontal view without prosthesis. She is a Class 2, deep bite. Now that the prosthesis is removed you can appreciate the amount of overlap of the upper and lower teeth.
She had sequential or transitional treatment meaning because we had some many hurdles to overcome (large teeth with small bone, bone resorption, impacted teeth, malocclusion – jumbled dentition, poor aesthetics, reluctant patient) we had to perform treatment in sections. She continued to wear removable teeth for several months. This is a picture of when she finally had all fixed temporaries. It is at this point when patients become very happy. Remember, it took decades for the problems to manifest. Rushing to give her fixed teeth too fast is very likely to ruin the final outcome.
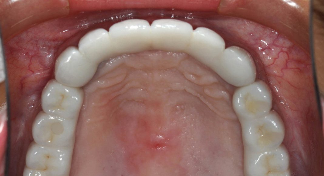
Occlusal (mirror) view of the upper implants and soft tissue. The redness are areas where the temporary bridge is shaping the tissues for future perfection.
Occlusal view of the wax prototype. This will serve as a template for us to evaluate the tooth length, size and shape. I work with the patient to assure it’s correct before we convert to zirconia.
Frontal view of wax prototype in the patient’s mouth. In her case, we agreed that the teeth were too long. The laboratory then modifies the wax-up to shorten the teeth. 50% of the time we try the modified temporary in. When changes are small, we can advise the lab and they make those changes before converting to zirconia. When changes are many, or the patient wants to see them again, a second wax prototype is tried in for approval.
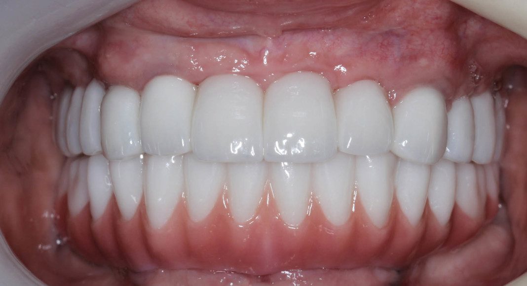
Frontal view – upper zirconia bridges with lower acrylic temporary. We are now ready to finish the lower jaw.
Lower zirconia bridge, off the master cast. This is the intaglio (tissue side) of the prosthesis. Note that is flat to convex for easy cleaning.
Right lateral, mirror view of the upper and lower zirconia bridges. Note the beautiful, healthy tissue response.
Note: This patient’s folder has 174 pictures representing 15 months of dental treatment. THIS IS AN EXTREMELY DIFFICULT TREATMENT that should be done by dental specialists. As potential patients for this type of treatment it is incumbent upon the patient to do the research to verify credentials, degree of experience and typical outcomes. If you are looking for the lowest price, you will very likely be disappointed/infuriated with the outcome. Buyer beware!





