
1 of 10
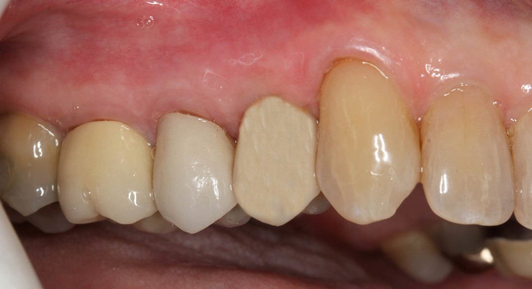
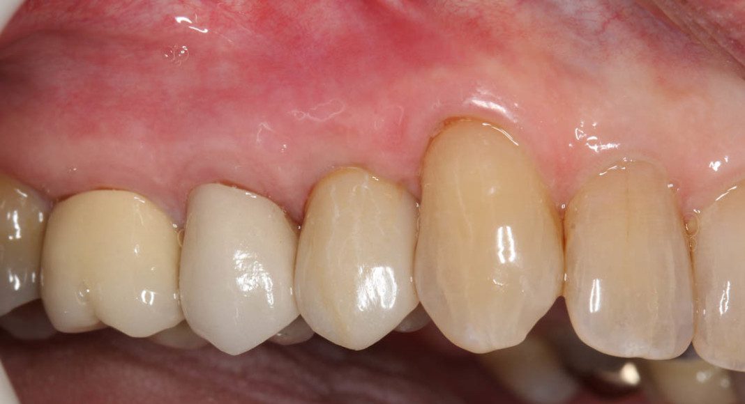
Though not obvious on the x-ray, this patient has fractured his upper right 1st premolar. Treatment plan: Extract tooth, place implant, fabricate an immediate, screw retained, temporary implant crown. Patient will never need to wear a removable partial or go without a tooth.





