
1 of 23
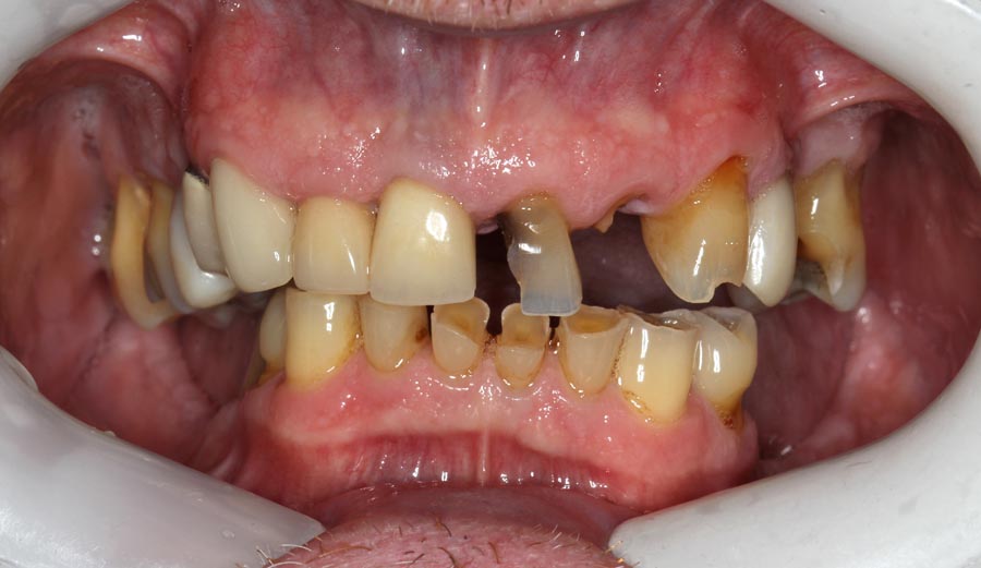
After many years of postponing, the time had come for this patient to fix his teeth. He elected to start on the upper and move to the lower one year later.
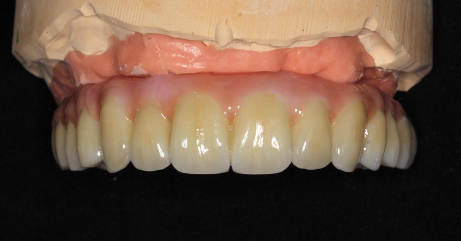
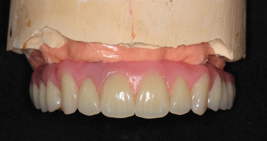
Wax try-in of upper final prosthesis. Nothing is left to chance, we try this in for evaluation of aesthetics, bite, smile and patient approval.
Matching of the gum tissue color is one more step we take in the “customization” process. Most offices have only two choices for the gum color.
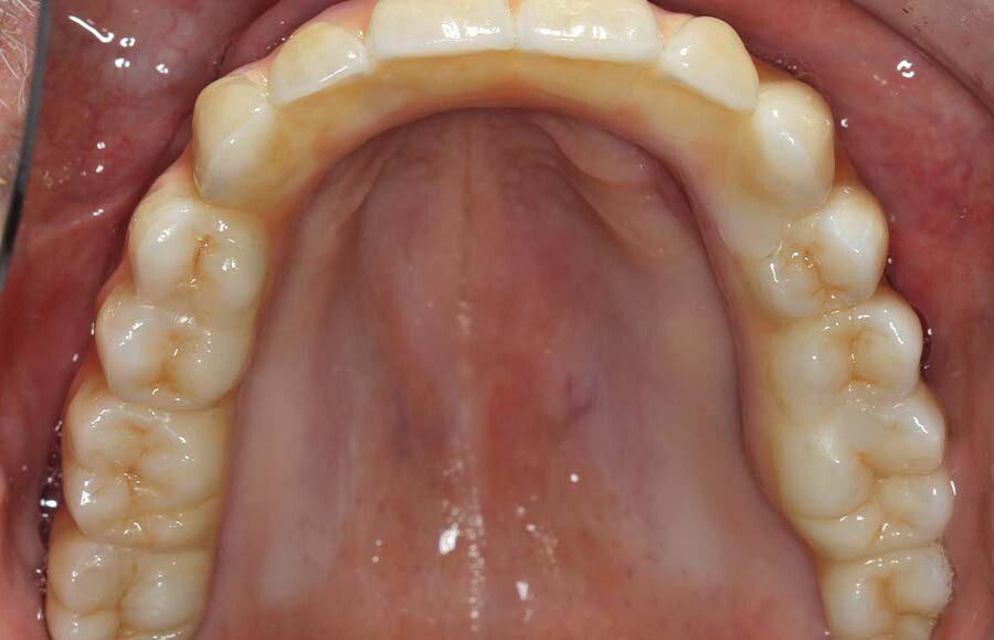
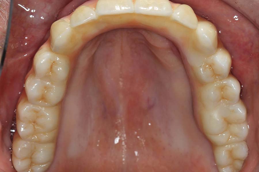
Occlusal (mirror) view of the upper implants. This patient had good bone in these five areas. If the bone was better we would have added a sixth implant.
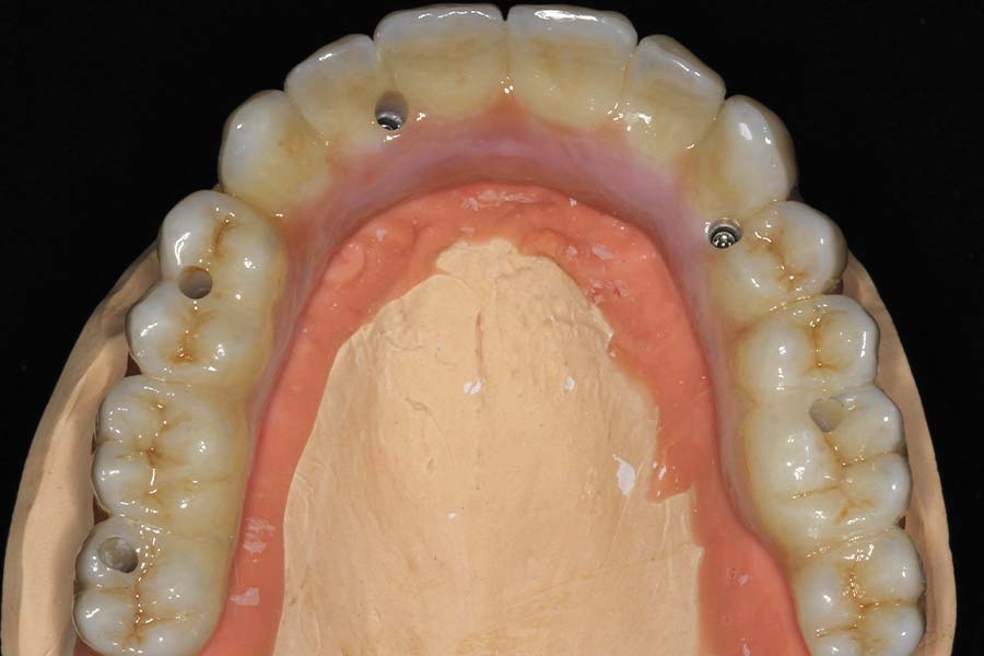
Tissue-view of the final implant bridge. Note the convex (cleansable) contours. This is a wide departure from “All-on-4” treatment which is virtually uncleansable.
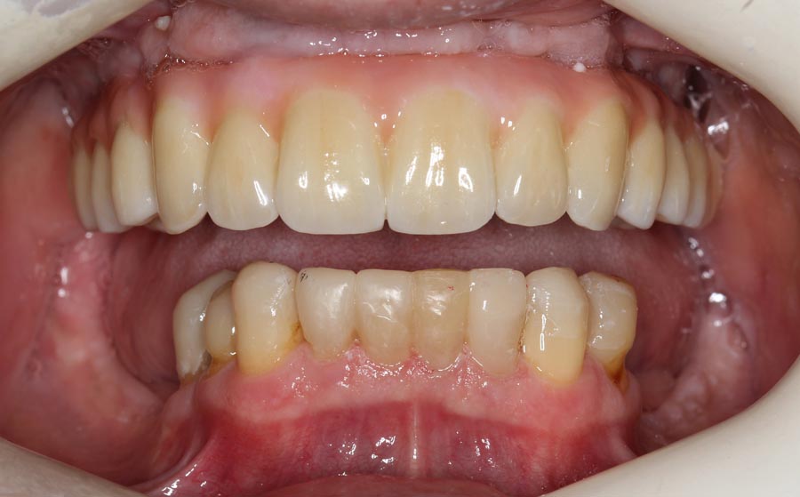
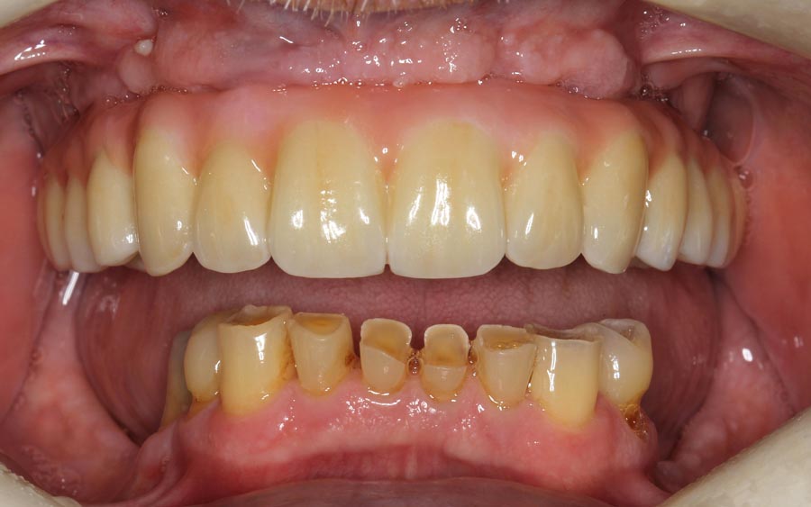
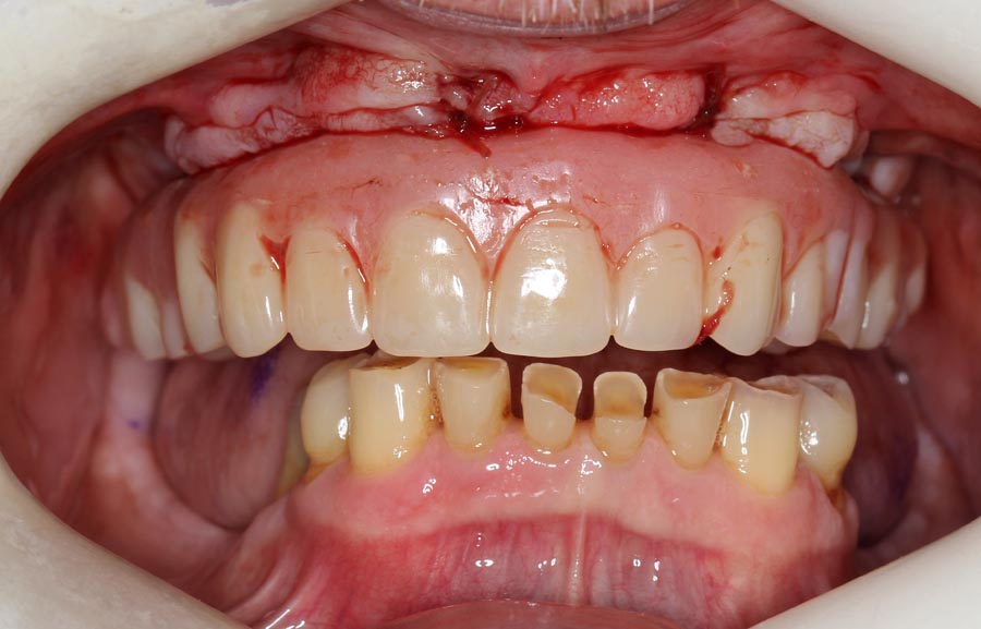
Frontal view of upper implant bridge (intra-oral). Just because the patient is delaying treatment on the lower doesn’t mean we can’t improve it for the year he is waiting. See next picture.
The lower teeth were bonded with composite resin to improve aesthetics and function during the year he is waiting to do his lower.
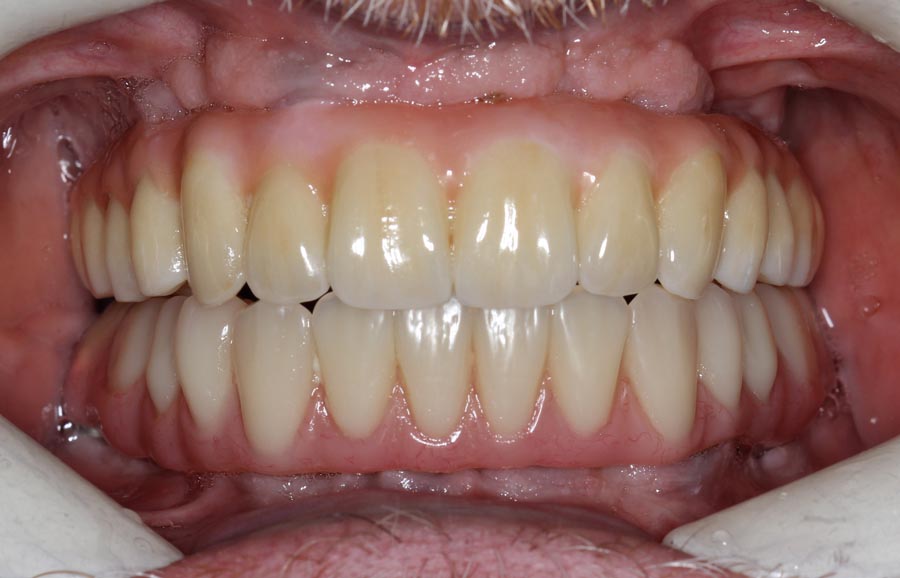
Smile of upper permanent and lower bonded teeth. The patient is starting to learn how to smile, again!
Final upper zirconium implant bridge. Final lower titanium/acrylic bridge. For patients with grinding habits, I recommend different materials in the opposing jaws to decrease the chances of breakage. Here, the lower acrylic teeth are softer than the upper zirconium which allows for tooth wear (attrition) instead of breakage.





