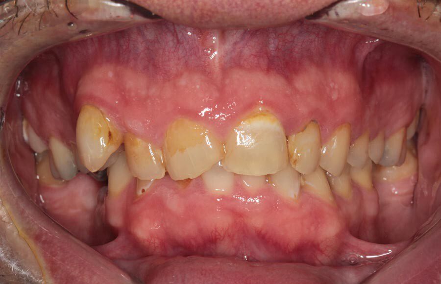
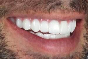
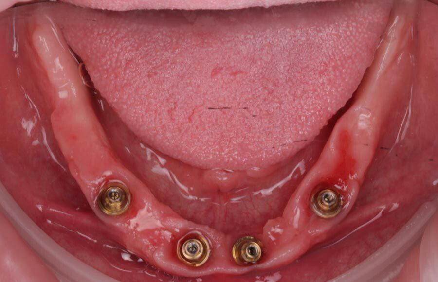
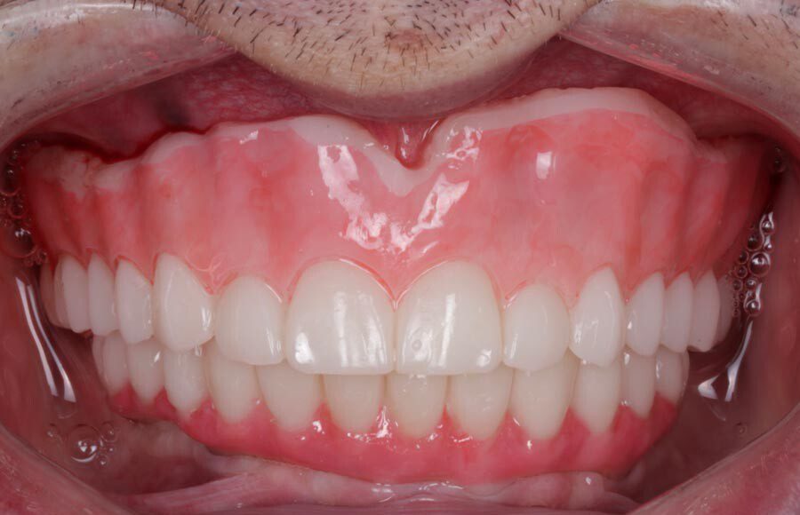
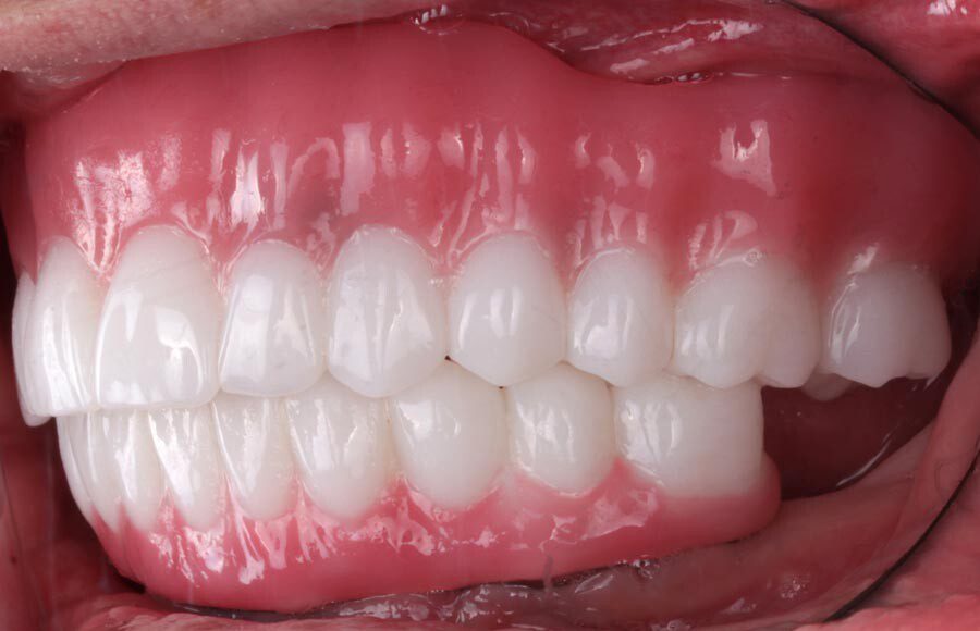
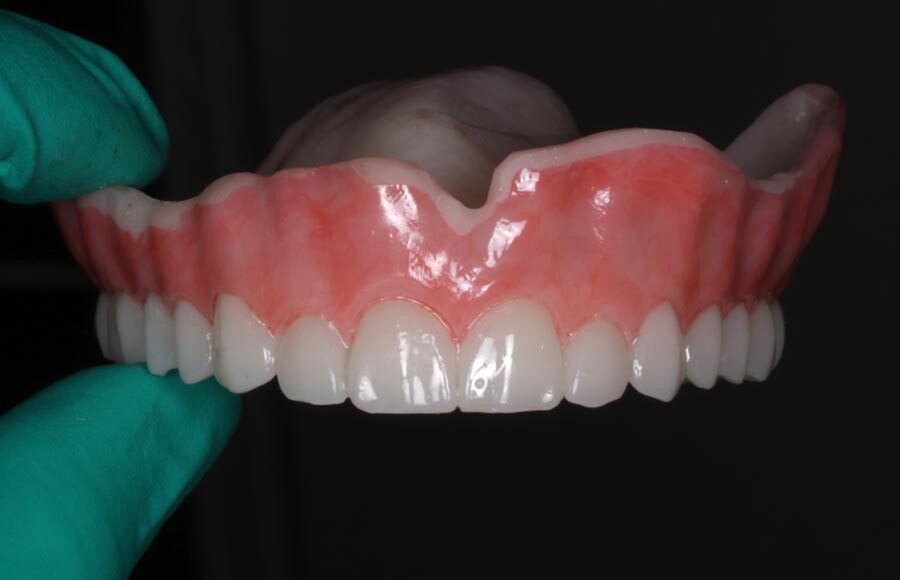
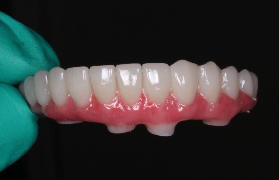
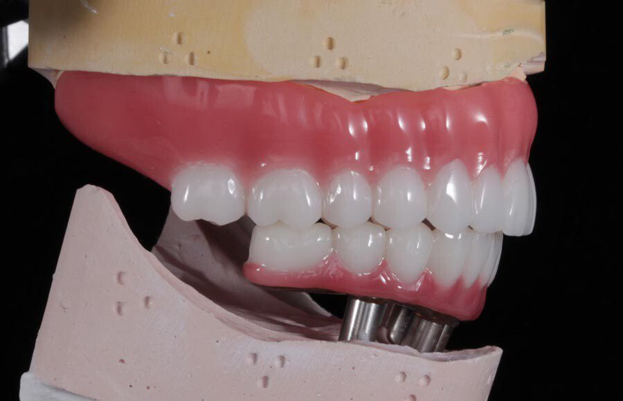
Smile GalleryImplant RestorationsImplant Dentures Post-op smiling 1 of 32 Pre-op close up smiling Pre-op lips retracted smiling Pre-op panoramic x-ray Implants in upper jaw (occlusal view) Implants in lower jaw (occlusal view) Panoramic x-ray of implants First set of try-ins – upper denture First set of try-ins – lower fixed provisional Delivered try-ins (lips retracted) Close adaptation to gums and appropriate emergence profile of lower fixed provisional Gum tissues have been molded by a convex provisional Delivered try-ins Second set of try-ins (lips retracted) Close adaptation to gums and appropriate emergence profile of second set of lower fixed provisional Delivered second try-ins Definitive restorations on casts (frontal view) Definitive restorations on cast (right side) Definitive restorations on cast (left side) Definitive upper overdenture (occlusal view) Definitive lower fixed titanium-acrylic hybrid restoration (occlusal view) Definitive lower fixed titanium-acrylic hybrid restoration (frontal view) Definitive lower fixed titanium-acrylic hybrid restoration (tissue side view) Healthy molded gum tissues on lower prior to delivery of lower fixed hybrid restoration Healthy gum tissues on upper prior to delivery of upper overdenture Definitive restorations (frontal, lips retracted) Definitive lower restoration (frontal) Definitive restorations (right side) Definitive restorations (left side) Definitive lower restoration (occlusal view) Definitive upper restoration (occlusal view) Post-op panoramic x-ray Post-op smiling