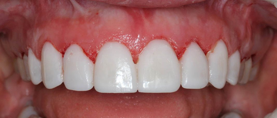
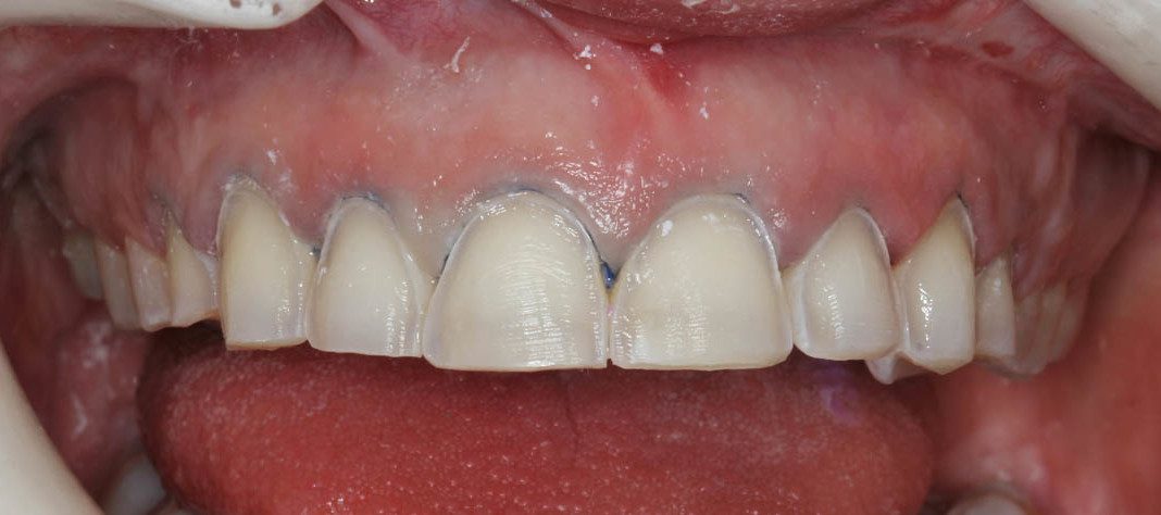
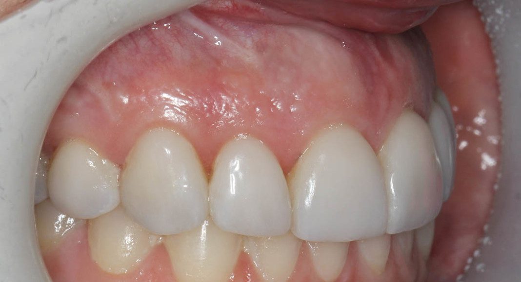
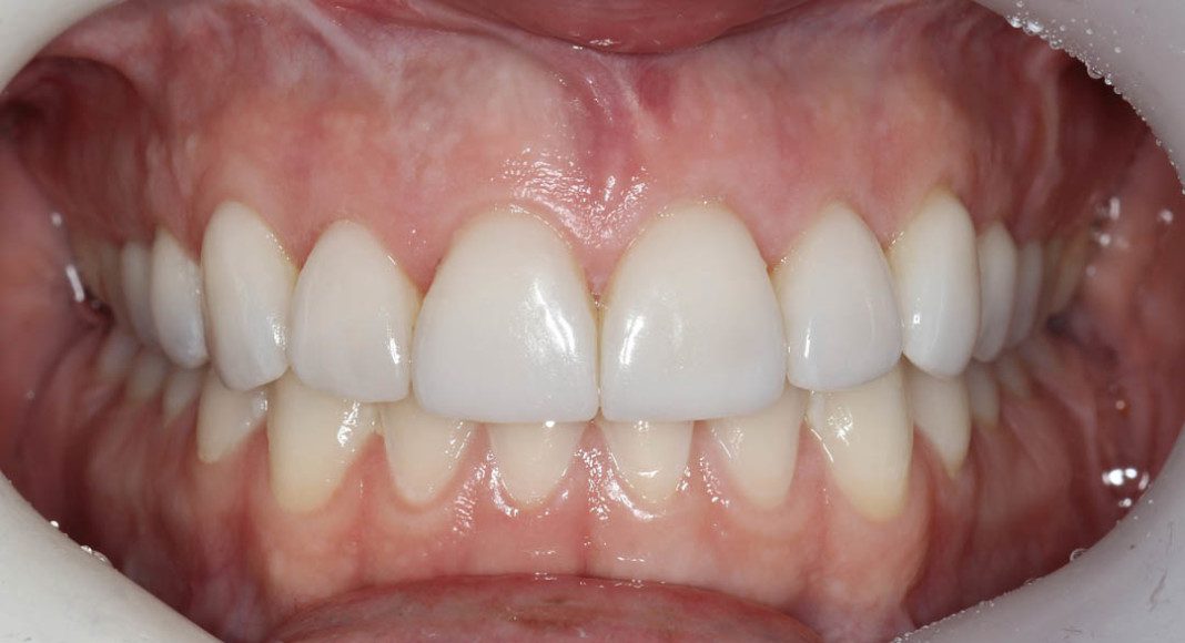
Smile GalleryTeeth Restorations without ImplantsCosmetic Veneers Final veneers, black background 1 of 18 Pre-treatment, final stages of braces Pre-treatment, final stages of braces, full smile Braces smile close-up Post-braces full face smile Pre-veneers, lips retracted Veneer preparations Template for temporary veneer fabrication Light curing of composite temporary material Temporary veneers, after light curing Temporary veneers, finished and polished Porcelain veneers Porcelain veneers on day of delivery Smile, one month later Lips retracted one month later Right side, lips retracted final Left side, lips retracted, final Final veneers, black background Final glamour shot