
1 of 39
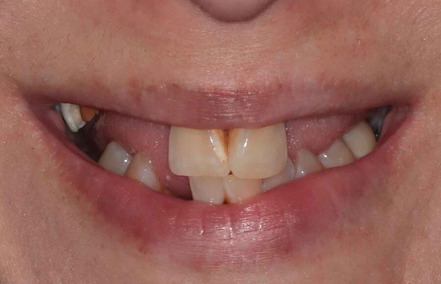
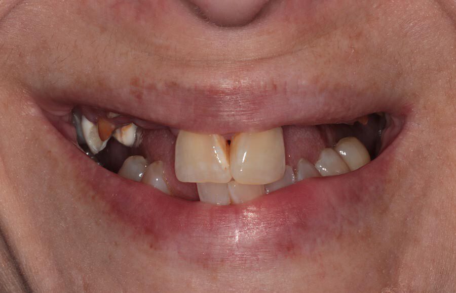
This patient came to our office dissatisfied with her smile. She a history of tooth decay/missing teeth and was looking to improve both her oral health and esthetics.
This patient came to our office dissatisfied with her smile. She a history of tooth decay/missing teeth and was looking to improve both her oral health and esthetics.
This patient came to our office dissatisfied with her smile. She a history of tooth decay/missing teeth and was looking to improve both her oral health and esthetics.
Her panoramic radiograph shows multiple missing and broken teeth along with tooth decay and areas of infection spreading into the bone.
During the surgical appointment, all the teeth were extracted and implants were placed. The implants went in with sufficient torque/tightness so were able to make impressions and fabricate full-arch provisionals.
During the surgical appointment, all the teeth were extracted and implants were placed. The implants went in with sufficient torque/tightness so were able to make impressions and fabricate full-arch provisionals.
During the surgical appointment, all the teeth were extracted and implants were placed. The implants went in with sufficient torque/tightness so were able to make impressions and fabricate full-arch provisionals.
Provisionals were made here in our dental office and they were delivered on the day of surgery. Cleansable, convex forms were used to ensure the tissues can be shaped for maximum health and esthetics.
Provisionals were made here in our dental office and they were delivered on the day of surgery. Cleansable, convex forms were used to ensure the tissues can be shaped for maximum health and esthetics.
The patient travelled from another state for treatment so we only saw her again 3 months after surgery, when she was ready to start on the final prosthetic phase of treatment.
We use the provisionals at this stage as a starting point for designing definitive restorations. We assess them critically and discuss improvements that we would like to see. Tissues have also stabilized at this stage so the final restorations will be designed to compensate for any resorption that has taken place.
We use the provisionals at this stage as a starting point for designing definitive restorations. We assess them critically and discuss improvements that we would like to see. Tissues have also stabilized at this stage so the final restorations will be designed to compensate for any resorption that has taken place.
Splinted impressions are made for maximum accuracy at this stage. Records are completed and sent to our partner lab so they can start creating wax prototypes for us to test.
Splinted impressions are made for maximum accuracy at this stage. Records are completed and sent to our partner lab so they can start creating wax prototypes for us to test.
Splinted impressions are made for maximum accuracy at this stage. Records are completed and sent to our partner lab so they can start creating wax prototypes for us to test.
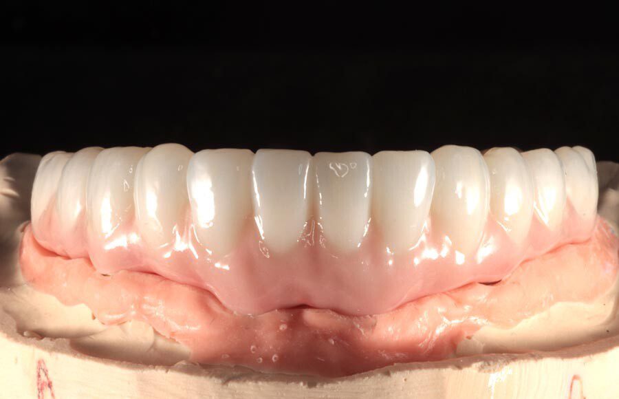
Prototypes are design and fabricated in wax so we can dial in the esthetics that we are looking for. In this particular case, a little pink was designed on the lower to compensate for tissue resorption while keeping tooth length proportional and balanced.
The prototypes are tested in the mouth to ensure we all love the size, shape, and position of the teeth.
The prototypes are tested in the mouth to ensure we all love the size, shape, and position of the teeth.
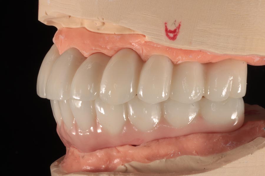
Once the final design is approved, the lab begins fabricating definitive restorations. They are able to add a lot more character and definition at this stage, resulting in restorations that are beautiful and realistic.
Once the final design is approved, the lab begins fabricating definitive restorations. They are able to add a lot more character and definition at this stage, resulting in restorations that are beautiful and realistic.
Once the final design is approved, the lab begins fabricating definitive restorations. They are able to add a lot more character and definition at this stage, resulting in restorations that are beautiful and realistic.
Once the final design is approved, the lab begins fabricating definitive restorations. They are able to add a lot more character and definition at this stage, resulting in restorations that are beautiful and realistic.
Once the final design is approved, the lab begins fabricating definitive restorations. They are able to add a lot more character and definition at this stage, resulting in restorations that are beautiful and realistic.
More importantly, special care is taken to ensure the tissue-fitting surfaces are smooth and convex. This ensures that any plaque that builds up here is easily removed with regular brushing and water-picking. Hygiene is important for long-term tissue health and this implant success.
More importantly, special care is taken to ensure the tissue-fitting surfaces are smooth and convex. This ensures that any plaque that builds up here is easily removed with regular brushing and water-picking. Hygiene is important for long-term tissue health and this implant success.
On the day of delivery, tissues are pink and healthy. The provisionals have helped to shape them perfectly to prepare them for the definitive restorations.
On the day of delivery, tissues are pink and healthy. The provisionals have helped to shape them perfectly to prepare them for the definitive restorations.
On the day of delivery, tissues are pink and healthy. The provisionals have helped to shape them perfectly to prepare them for the definitive restorations.
On the day of delivery, tissues are pink and healthy. The provisionals have helped to shape them perfectly to prepare them for the definitive restorations.
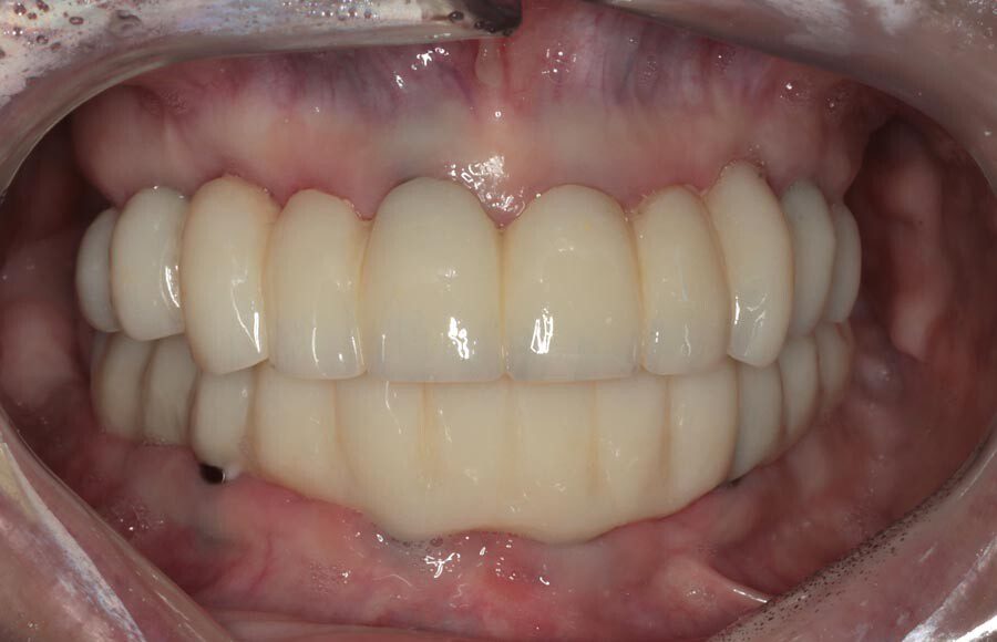
The definitive bridges are delivered, the bite is verified, and the screws are torqued down firmly. The final result is strong, functional, and esthetic restorations that will serve the patient well for years to come.
The definitive bridges are delivered, the bite is verified, and the screws are torqued down firmly. The final result is strong, functional, and esthetic restorations that will serve the patient well for years to come.
The definitive bridges are delivered, the bite is verified, and the screws are torqued down firmly. The final result is strong, functional, and esthetic restorations that will serve the patient well for years to come.
The definitive bridges are delivered, the bite is verified, and the screws are torqued down firmly. The final result is strong, functional, and esthetic restorations that will serve the patient well for years to come.
The definitive bridges are delivered, the bite is verified, and the screws are torqued down firmly. The final result is strong, functional, and esthetic restorations that will serve the patient well for years to come.
The patient couldn’t be happier with her new smile. We have improved not only her esthetics but her oral health as well. She now has beautiful restorations she can keep for years to come. Contact us if you would like to have a consultation and see if this is the right treatment for you!





