Home
Services
Dental Implant Services >
Alternatives to All-on-4
Single Tooth Replacement
Bridges >
Fixed Implant Bridges (non-removable)
Removable Implant Bridges/Partials
Dentures >
Fixed Dentures
Permanent Dentures
Removable Implant Dentures/Overdentures
Full Mouth Dental Implants
Mini Implants
Teeth In a Day
Botched Dental Implant Treatments
Bone Grafting
Intravenous (IV) and Oral Sedation
Non-Implant Dental Services >
Crowns and Fixed Bridges
Aesthetic Dentistry
Dentures and Partial Dentures >
Before and After Partial Dentures
Partial Dentures For Front Teeth
Partial Dentures For Back Teeth
Upper Partial Dentures
Lower Partial Dentures
Porcelain Veneers
Orthodontic Treatment
Extractions
Intravenous (IV) Sedation and Oral Sedation
Dental Hygiene & Preventive Dentistry >
Dental Cleaning
Oral Cancer Screening
Dry Mouth Treatment
Occlusal Guards
Retainers
Gallery
Patient Resources
Educational Materials >
Videos
Blog
New Patients >
What is a Dental Implant?
Wy We Use CBCT Tech
Sedation Options
Out of Town Patients
FAQ
Out of Town Patients
Patient Care >
Post-Operative Instructions
Post Care Articles
About Us
Our Practice
Meet Our Doctors >
Dr. David McFadden
Dr. Daniel Tan
Dr. Andrew Lim
Reviews
Check Credentials
Contact Us
Services
Dental Implant Services >
Alternatives to All-on-4
Single Tooth Replacement
Bridges >
Fixed Implant Bridges (non-removable)
Removable Implant Bridges/Partials
Dentures >
Fixed Dentures
Permanent Dentures
Removable Implant Dentures/Overdentures
Full Mouth Dental Implants
Mini Implants
Teeth In a Day
Botched Dental Implant Treatments
Bone Grafting
Intravenous (IV) and Oral Sedation
Non-Implant Dental Services >
Crowns and Fixed Bridges
Aesthetic Dentistry
Dentures and Partial Dentures >
Before and After Partial Dentures
Partial Dentures For Front Teeth
Partial Dentures For Back Teeth
Upper Partial Dentures
Lower Partial Dentures
Porcelain Veneers
Orthodontic Treatment
Extractions
Intravenous (IV) Sedation and Oral Sedation
Dental Hygiene & Preventive Dentistry >
Dental Cleaning
Oral Cancer Screening
Dry Mouth Treatment
Occlusal Guards
Retainers
Gallery
Patient Resources
Educational Materials >
Videos
Blog
New Patients >
What is a Dental Implant?
Wy We Use CBCT Tech
Sedation Options
Out of Town Patients
FAQ
Out of Town Patients
Patient Care >
Post-Operative Instructions
Post Care Articles
About Us
Our Practice
Meet Our Doctors >
Dr. David McFadden
Dr. Daniel Tan
Dr. Andrew Lim
Reviews
Check Credentials
Contact Us
Home
Implant Restorations
Single Front Implant Tooth
Single Front Implant Tooth
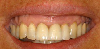
Front Implant Crown – Right Central Incisor Implant with Bone Graft,...
mgraska
-
Jan 18, 2022
0
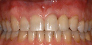
Front Implant Crown & three natural tooth crowns – Fractured Tooth
mgraska
-
Apr 23, 2021
0
Front Implant Crown – Left Central Incisor- Fractured Tooth (Female)
mgraska
-
Sep 16, 2020
0
Front Implant Crown – Right Lateral Incisor – Mini-Implant (Male)
mgraska
-
Mar 13, 2017
0
Front Implant Crown – Right Central Incisor (#8) – Ankylosis ...
mgraska
-
Mar 10, 2017
0
Front Implant Crowns Replacing Failing Teeth (Female)
mgraska
-
Mar 10, 2017
0
Front Implant Crown – Left Lateral Incisor (#10) (Male)
mgraska
-
Mar 10, 2017
0