
1 of 76
Upper surgical, implants in place. Note: NO BONE OR GUM REMOVAL. This will help create the best possible tissue bed for the future prosthesis.
Because this patient’s bone was not very hard (dense), immediate temporaries were not possible. The patient will wear upper and lower temporary dentures for 2 months. Yes, this is inconvenient and uncomfortable, but the results absolutely show why, sometimes, this is a much better scenario.
Surgical panoramic x-ray. Note: posterior (back) implants could not be placed in the upper because of lack of bone and in the lower because the extraction sockets were too large. Both upper maxillary sinuses were bone grafted (sinus lift) and the lower molar extraction sites are allowed to heal. Both require six months of healing to yield the best bone.
Upper implants are “uncovered” (an incision is made over the implants to separate the tissue that is covering the implants. Whenever possible the incision favors the palatal tissues to bring better quality tissue in front of the implants). Implant impression copings are placed. Frontal view.
Upper implants are “uncovered” (an incision is made over to separate the tissue that is covering the implants). Implant impression copings are placed. Occlusal view.
Lower implants are “uncovered” (an incision is made over to separate the tissue that is covering the implants. If there is an option to move better tissue from the tongue side of the implants, the incision will be placed on the tongue side of the implants). Implant impression copings are placed. Frontal view.
Lower implants are “uncovered” (an incision is made over to separate the tissue that is covering the implants). Implant impression copings are placed. Occlusal view.
The patient’s upper denture is duplicated in white dental acrylic to be used as his fixed temporary bridge. The duplicate bridge is used for the impression of the implant impression copings.
The patient’s lower denture is duplicated in white dental acrylic to be used as his fixed temporary bridge. The duplicate bridge is used for the impression of the implant impression copings.
Polyvinylsiloxane is used (pink material) to recreate the soft tissues on the implant model. Laboratory analogs are placed by screwing them into the impression copings.
Through a process of acrylic addition and subtraction, upper and lower temporary bridges are fabricated. Both upper and lower temporary bridges are placed for use until the back implants are placed and ready to restore. This patient has a serious grinding habit. He grinds and abuses his teeth all day. The grinding sound can be heard when he is in the office. These bridges were made of a very hard acrylic resin and all the same piece of acrylic unlike All-0n-4 temporaries which are converted dentures and much weaker. In spite of our best efforts, he was able to break these temporaries on a regular basis.
Same temporary bridges after four months… stained, broken, and battered. We kept him going while the upper back bone grafts were healing.
After six months of healing, the bone grafts in the upper and lower molar sites can receive additional implants. Four more implants are strategically placed where they will best support the future bridges.
After two additional months of healing, we begin the process to make the final bridges. First, we decide if we all like the general appearance of the temporaries. Though not stunning with the lips retracted, the general appearance of the temporaries is good. Hence, we can use them as a general guide for the final bridges. Pictures are taken of the smile from three angles. We also take pictures from all angles with lips retracted. Not shown in this part. Frontal smile.
This is called an “impression jig”. It connects the implant impression cylinders. The red acrylic improves accuracy.
The Master Casts are articulated on an “articulator”. This mimics the jaws, the bite and the opening (vertical dimension of occlusion) so that our was-ups and finals are all made in a very accurate method.
We have dozens of different tooth shades that we use to select the appropriate color for each patient. Most patients want white or very white teeth. Some patients want “age appropriate” teeth. There is no wrong choice, but I try to counsel patients not to go too white as it can look fake… just like bad or too much plastic surgery.
We also attempt to match the patient’s natural gum tissue color. We have fewer gum shades but we can mix them for a few more shades.
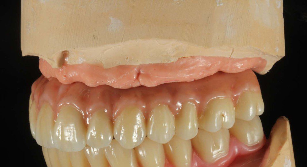
This is the upper, wax-up used to determine final tooth position and bite. At the patient’s request, the teeth were made slightly irregular. These are denture teeth selected for size and shape based on a combination of his temporaries and his and his wife’s requests. These are NOT the final color.
Lower wax-up. The lower teeth settings are driven by the upper as the upper arch determines 90% of the set-up.
Even in the wax-up you can see the convex contour of the part of the prosthesis that touches the tissue. This is of paramount importance for cleaning. The visible cylinders are the connection to the implants. Frontal view with slightly superior angle.
Upper and lower wax try-in. Here we test the aesthetics, tooth display and bite. If there is any compromise, concern, or large bite discrepancy, we make notes, take pictures and a new bite and schedule another try-in. We do as many try-ins as necessary to make sure everyone is happy. After the wax try-in is approved, nothing can be changed.
The most important view of the try-in is with the patient fully animated (full, unrestrained smile). This is how we reveal our teeth in social settings. Most patients have a controlled, comfortable smile at these try-ins. That is not enough… we must get the patient to loosen up and smile BIG!
Upper Zirconia implant bridge with lower wax-up on articulator. Frontal view. Because of his intense grinding habit, we do not use zirconia in the lower arch. Instead, titanium/ acrylic. This is a much more biocompatible combination.
Close up frontal view to show character of the porcelain which overlays the Zirconia. This is where the artistry really shows. Almost no implant office offers porcelain over zirconia. Therefore, the final teeth almost always look fake. It is slightly more expensive for the patient and the office, but it is this “character” and “artistry” that give artificial teeth a natural appearance.
Close-up occlusal view to show the slight crowding of the front teeth. Of all the things we do to make teeth look natural, slight crowding is the best technique. You will notice in the final smile pictures that you cannot tell there is crowding, just a really beautiful, natural smile.
Upper Zirconia implant bridge showing the cylinders that interface with the implants. Frontal view. NO INTERMEDIATE ABUTMENTS!
Upper Zirconia implant bridge showing the cylinders that interface with the implants. Right side view.
Upper Zirconia implant bridge showing the cylinders that interface with the implants. Left side view.
Upper jaw showing beautiful, sculpted, healthy tissue. Frontal view, slightly tipped to show implants.
Lower Master Cast left lateral view. Notice the trough that is prepared into the soft tissue replica. The cast is modified to put slight pressure on the gum tissues for an accurate fit and to keep food out. In the next few pictures, you will see the benefit.
Lower titanium/ acrylic (titanium skeleton/ acrylic wrapped and retained to the titanium) bridge on lower cast. Occlusal view.
Lower titanium/ acrylic (titanium skeleton/ acrylic wrapped and retained to the titanium) bridge on lower cast. Frontal view showing the titanium skeleton and platform.
Lower titanium/ acrylic (titanium skeleton/ acrylic wrapped and retained to the titanium) bridge on lower cast. Tissue view.
Lower titanium/ acrylic (titanium skeleton/ acrylic wrapped and retained to the titanium) bridge on lower cast. Tissue view on mirror.
Lower titanium/ acrylic (titanium skeleton/ acrylic wrapped and retained to the titanium) bridge in mouth. Frontal view.
Lower titanium/ acrylic (titanium skeleton/ acrylic wrapped and retained to the titanium) bridge in mouth. Occlusal view.
Lower prosthesis was removed at the patient’s request. He believed he had something “stuck”. What he was feeling was healthy tissue around an implant. Note how much healthier (pinker) the tissues are with the polished titanium touching them. Frontal view.
Doctor’s comments:
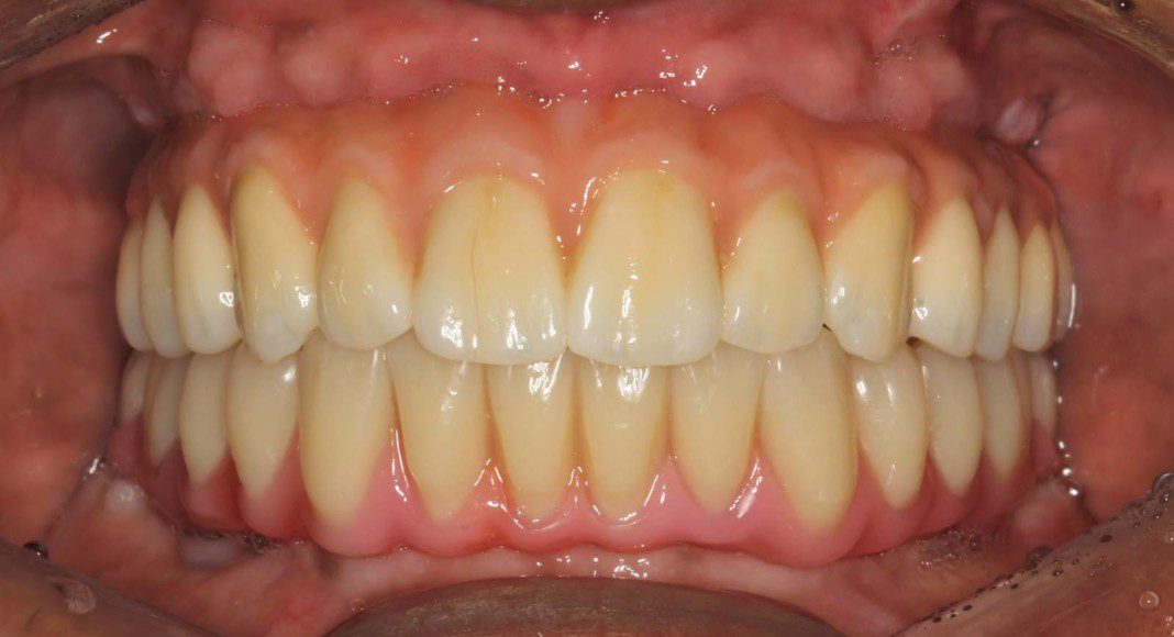
This treatment is as good as humans can do in 2023. Because we staged the treatment for maximum patient benefit, waited the appropriate time between segments, sweated every detail, completed each step as perfectly as possible, honored the patient’s wishes, added our own expertise and advice, and didn’t cut corners, the patient received a flawless result. This is the type of treatment and outcome that every dentist and dental specialist would request if they needed full mouth implant reconstruction. So, why are we one of very few offices that render and advocate this treatment? Something to ponder in your free time!





