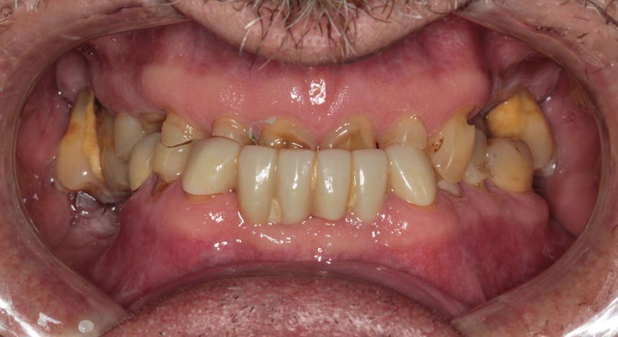
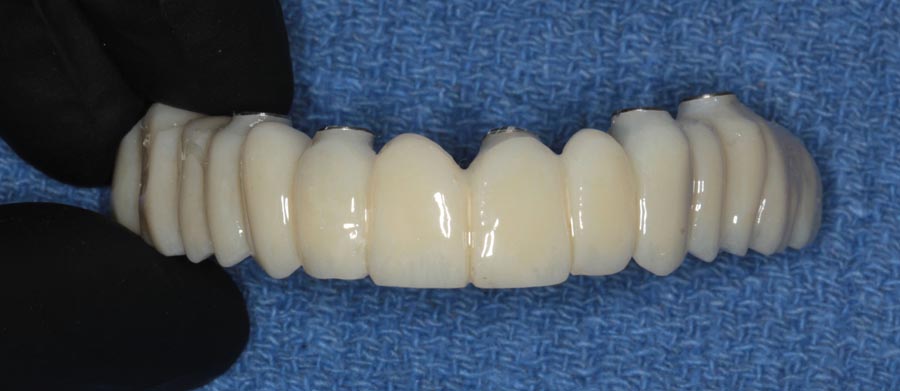
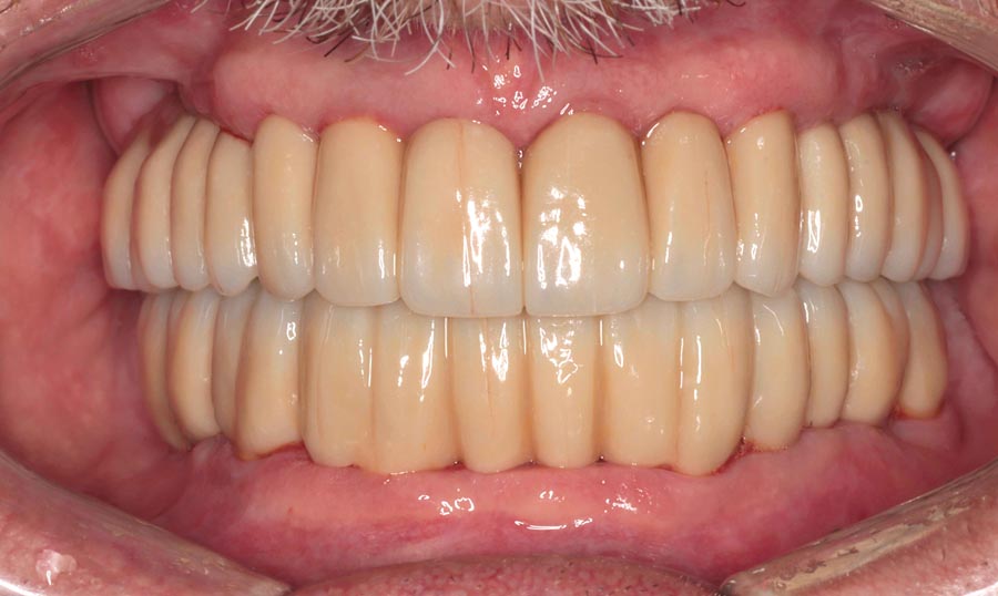
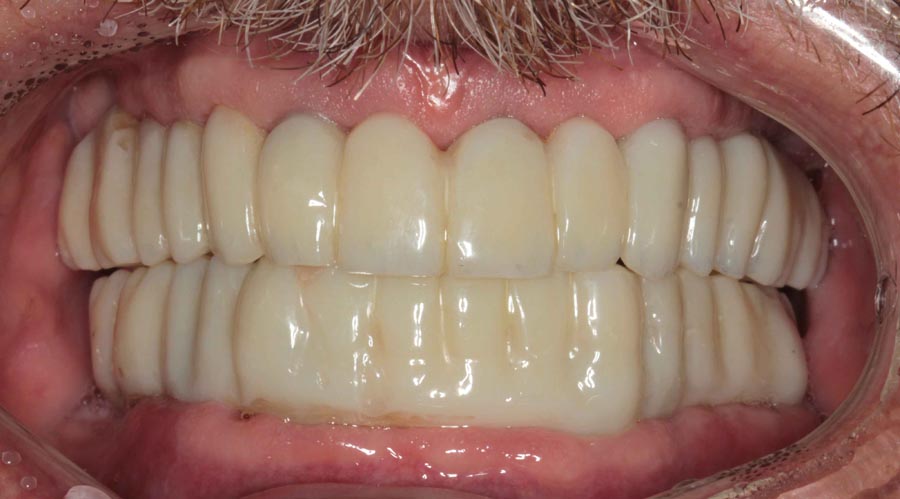
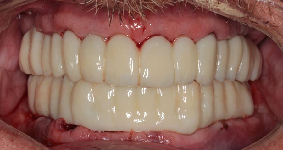
Smile GalleryImplant RestorationsFull Mouth Implant Restoration 1 of 13 Pre-operative smile Pre-operative smile Pre-operative frontal view, lips retracted Pre-operative panoramic image (note bone levels) Post-surgical panoramic image Surgical temporary bridge (note convex contours) Delivery of surgical temporary bridges in both upper and lower Two weeks post-op surgery and temporaries (note amazing tissue response) Three months post- surgery. (Note tissue development) Definitive implant bridges (FP-2) Post-treatment panoramic image Final result smile Final result smile