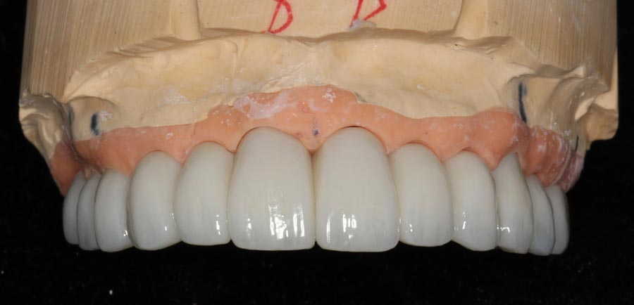
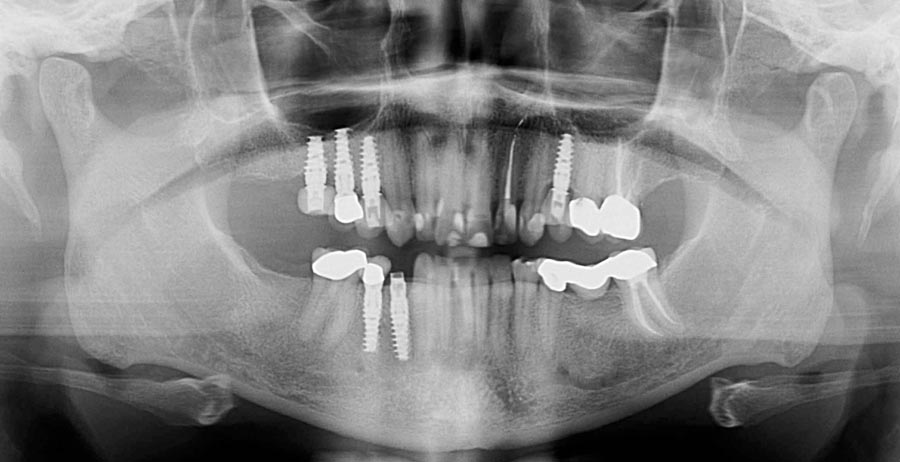
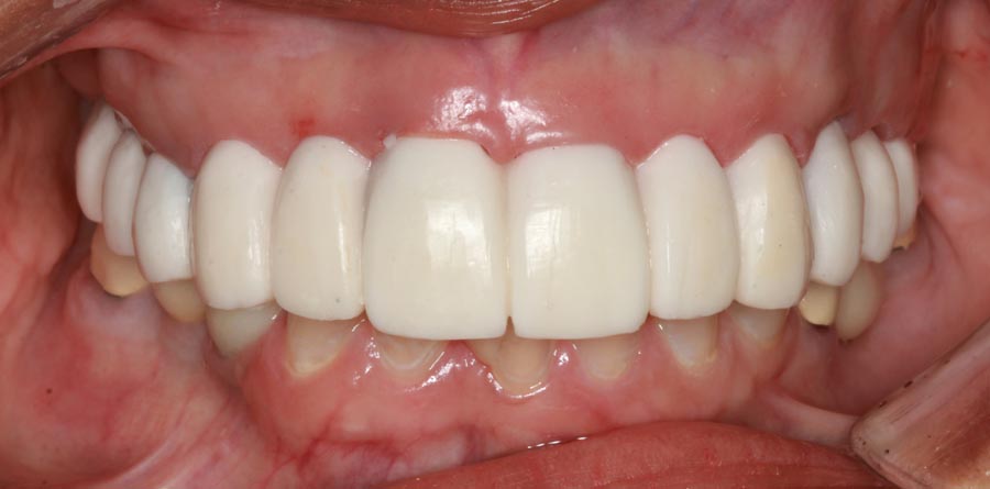
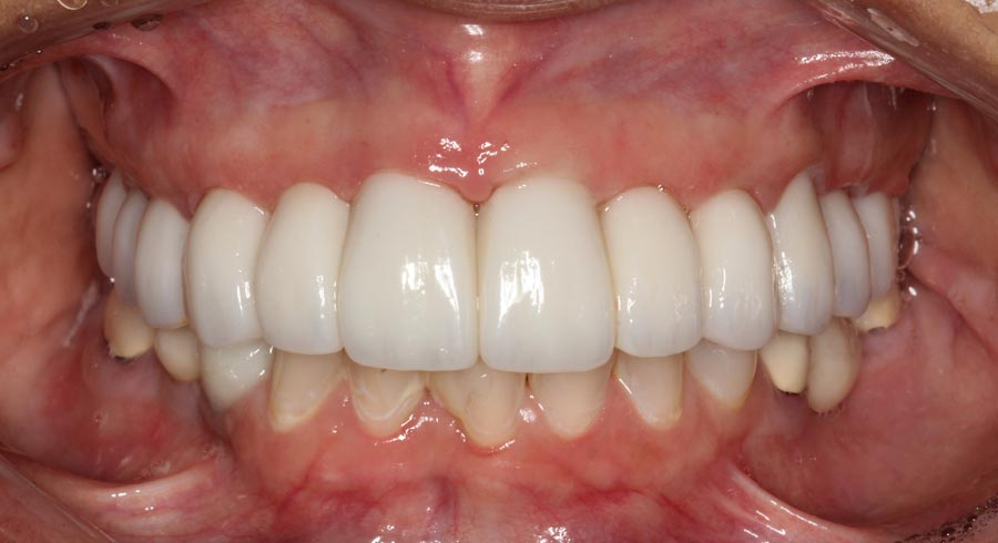
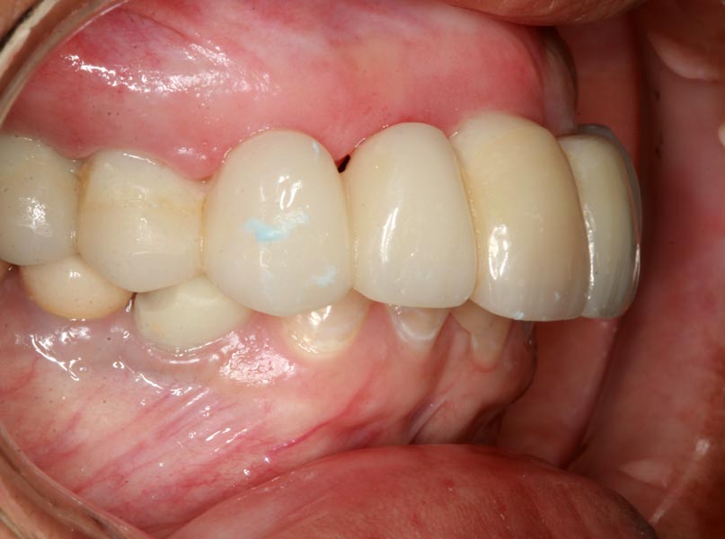
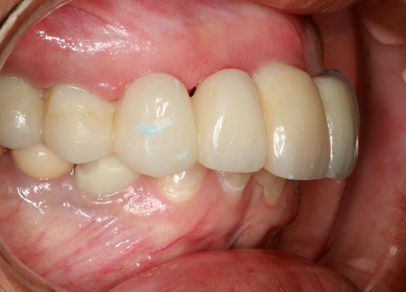
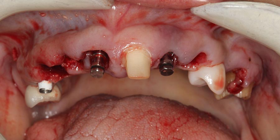
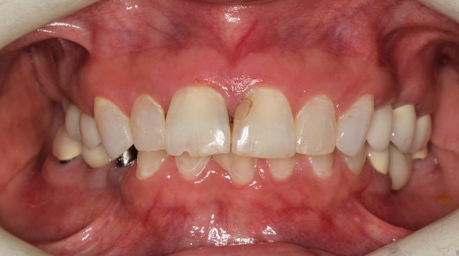
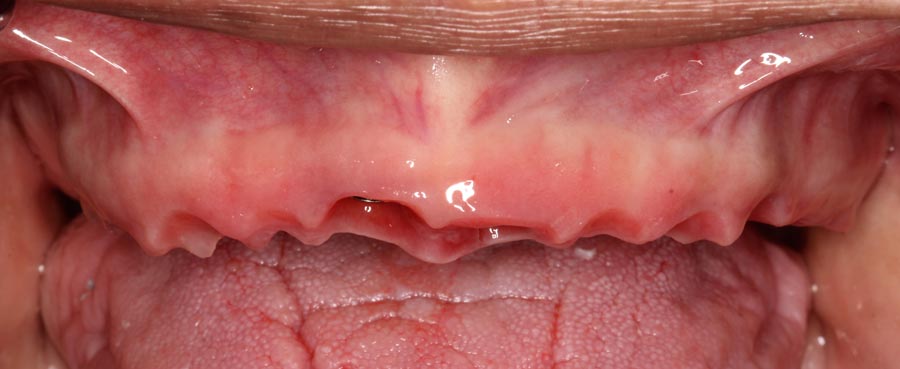
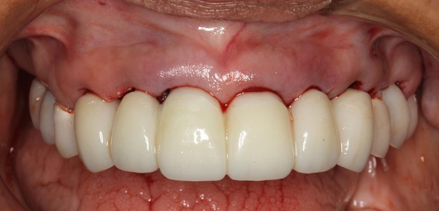
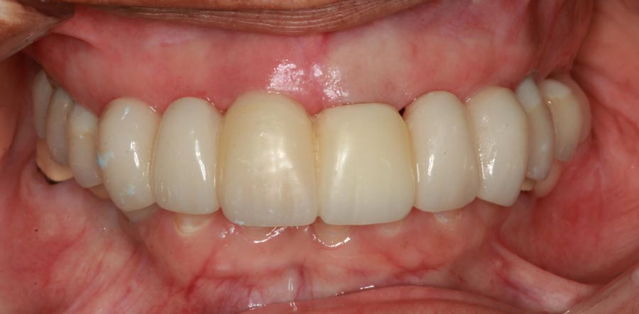
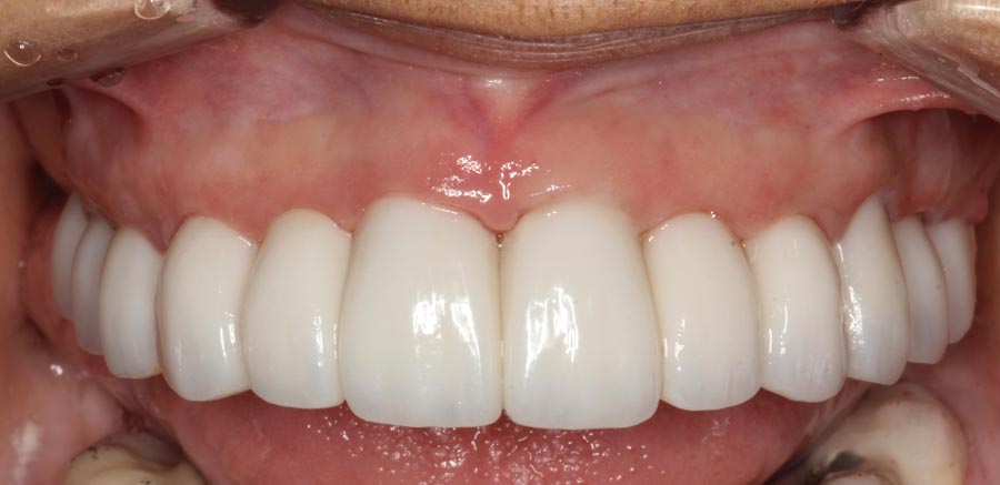
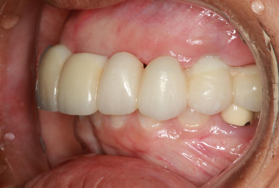
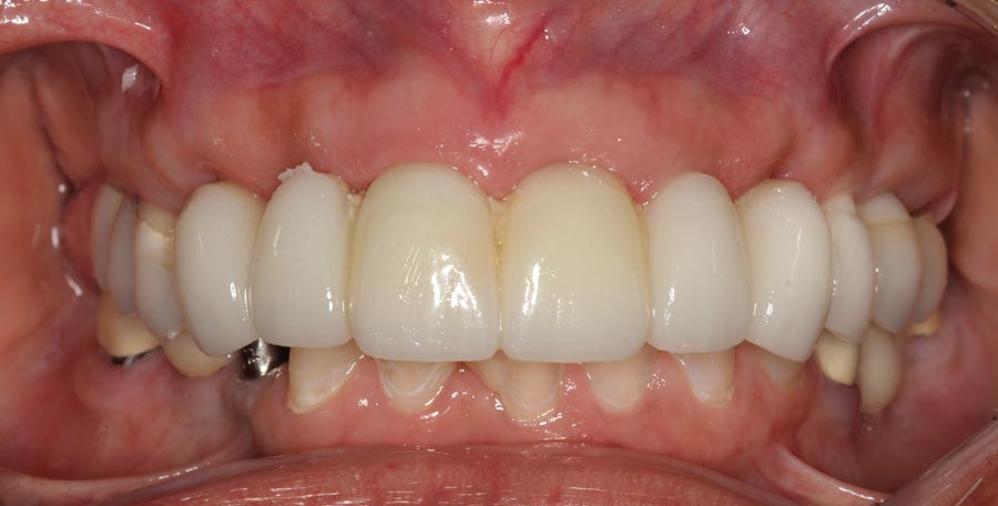
Smile GalleryImplant RestorationsFull Mouth Implant Restoration Full arch zirconia implant bridge (full smile) 1 of 37 Pre-op full smile Pre-op lips retracted Pre-op panoramic x-ray Extraction of strategic teeth Placement of implants Extraction of some remaining teeth after verification of adequate implant stability Occlusal view Post-op panoramic x-ray Immediately fabricated provisional restoration (tissue side view) Immediately fabricated provisional restoration (occlusal side view) Immediate provisional delivered on day of surgery Immediate provisional 2 weeks later Scalloped tissue developed from the provisional at 2 weeks Jig used for making a master impression Provisional in place (full smile) Provisional in place (lips retracted) Provisional in place (right side) Provisional in place (left side) Wax try-in (full smile) Wax try-in (right side full smile) Wax try-in (left side full smile) Wax try-in (full face, lips together) Wax try-in (full smile) Wax try-in (right side) Wax try-in (left side) Wax try-in (lips retracted) Full arch zirconia implant bridge on master cast (frontal view) Full arch zirconia implant bridge on master cast (occlusal view) Implant positions and soft tissue representation on master cast (occlusal view) Soft tissue representation on master cast (frontal view) Full arch zirconia implant bridge (tissue side view) Soft tissues on day of delivery (occlusal view) Soft tissues on day of delivery (frontal view) Full arch zirconia implant bridge delivered (lips retracted) Full arch zirconia implant bridge (lips retracted, close up) Post treatment panoramic x-ray Full arch zirconia implant bridge (full smile)