
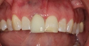
Do you (or someone you know) have a single tooth or crown that doesn’t match your other teeth in color? Have you been told that you need to get crowns or veneers on SEVERAL or ALL (4-8) of your front teeth in order to get a match?
NOT TRUE.
The most common problem is having a dentist who doesn’t have a ceramist capable of this type of artistry. The truth is that matching a single tooth can be extremely difficult. But dental technicians that make the crowns vary very widely in their skills and ability to create beautiful, REAL looking, teeth. In order to get a perfect shade match, your dentist may need to use a different technician or even a different lab in order to achieve the results you desire. To get the best match in this scenario, you need a highly skilled ceramist, and the most highly skilled dental technicians charge a premium, and are few and far between.
Most dentists either don’t have access to a lab of this caliber, or, more often than not, they aren’t willing to pay the extra lab expenses because it cuts into their profit margin. And they’re either unable or unwilling to do what it takes to arrive at a perfect match. And so they sell you 5 crowns more than you NEED to make their job easier and more profitable. But – it CAN be done. Sad, isn’t it?
Enamel is translucent and reflects and refracts the light. Dental porcelain is translucent but is rarely used, anymore. Less expensive materials like Zirconia and Lithium Disilicate have replaced porcelain in the dental industry. Most dentists inaccurately call these two materials “porcelain”, but they are not. In the hands of a talented laboratory technician they can look like a perfect natural tooth. However, because most dentists are unwilling to pay a premium for quality crowns the new crowns rarely match. The manufacturers have developed automated methods of crown fabrication that is slowly replacing the talented laboratory technicians. So, there is a significant shortage of talented laboratory technicians.
Yes, doing 6 or 8 teeth will definitely be easier for the less skilled technicians to match. Instead of doing/paying for more crowns or veneers, just pay more for the ONE you actually need and choose a better dentist and lab technician.
If you’ve got crowns that don’t match and you’d like to correct it, contact us. We offer a complimentary consultation and x-rays and are happy to help. Call us today at 214-956-9100
Frequently Asked Questions
Why do crowns sometimes not match the surrounding teeth?
Matching a single crown to natural teeth is technically demanding because enamel is translucent and light interacts with it in complex ways — many labs lack technicians with the artistry needed to achieve a perfect match.
Can a mismatched crown be fixed without replacing many adjacent teeth?
Yes — instead of doing 4-8 crowns or veneers just to force a match, you can pay more for a single crown done by a highly skilled lab and get it to blend well.
Why don’t many dentists use the best lab technicians to match crowns?
Often the most capable ceramists charge premium rates, and many dentists avoid those costs to protect profit margins or because they lack access to those labs.
Are all crowns made of the same material?
No — many dentists use zirconia or lithium disilicate (which are more opaque than true porcelain), and calling them “porcelain” is often misleading; in skilled hands they can still look natural.
Does doing more crowns make matching easier?
Yes, doing 6 or 8 crowns is easier for less skilled technicians to match en masse than trying to match a single crown to existing teeth.
What is the root cause of crown-color mismatches?
A major cause is the variability in skill among lab technicians and the use of automated crown fabrication methods that reduce artistic control.
What should I look for when getting a crown to match?
Look for a dentist who works with a highly skilled ceramic artist or lab, and be willing to invest in better quality rather than settling for the easiest or cheapest option.





