
1 of 8
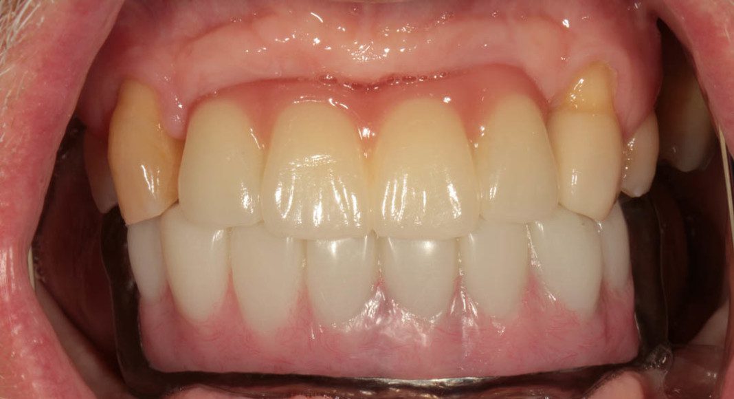
Case 1: The patient’s teeth were breaking down after several rounds of cancer treatment left her with an extremely dry mouth.
All the teeth were extracted and implant-supported restorations placed to replace both the upper and lower teeth.
During that time, the lower teeth grew longer and started cutting into the gums where the upper teeth used to be.





