
1 of 45
Pre-op, Panoramic x-ray. Note: Excellent bone in the upper front, reasonably good bone everywhere else.
Lower teeth extracted, some bone removal lower, 8 upper implants, 5 lower implants, lower immediate temporary bridge.
Patient will continue to use his prior upper denture for three months as most of the upper implants were not stable enough for immediate temporary. After 3 months of healing, these implants will be ready for a fixed temporary bridge.
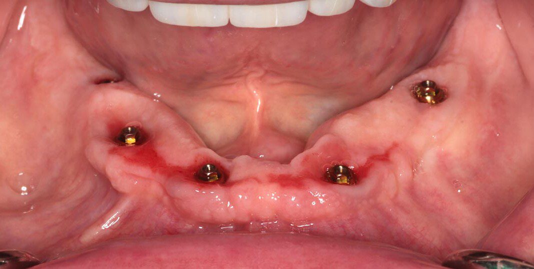
Three months post, first surgery the patient returns for implant uncovering and these are the impression copings preparing for the fixed temporary bridge.
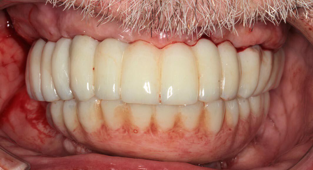
Frontal temporary smile. The patient heals for two additional months and returns to start the process for fabrication of the permanent implant bridges. We begin by assessing and photographing the temporary bridges. There are several issues with the first temporary bridges. Mainly, because he wore his original denture after the first surgery, we were unable to correct the left-to-right cant (slant) until now.
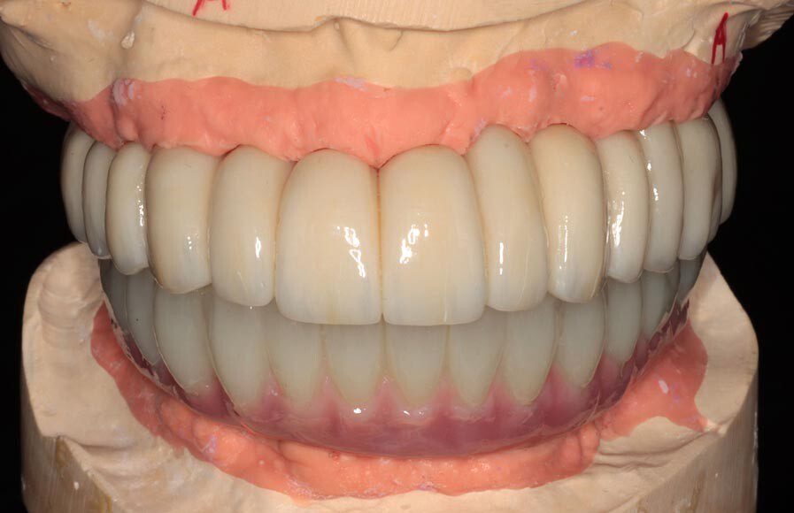
Frontal view of articulated Master Casts. We use the temporary bridges in a procedure called “records” to articulate the Master Casts to the articulator. This gives us the static and dynamic recording of the patient’s mouth and bite.
A duplicate of the temporary bridge is made. Modifications are made to the duplicate. These changes are then sent to the laboratory for further modification.
Over the next few days, the lab modifies and improves the duplicate. These modified duplicates now considered “prototypes” will now be sent back to the office for “Try-in”.
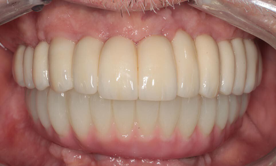
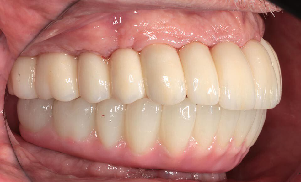
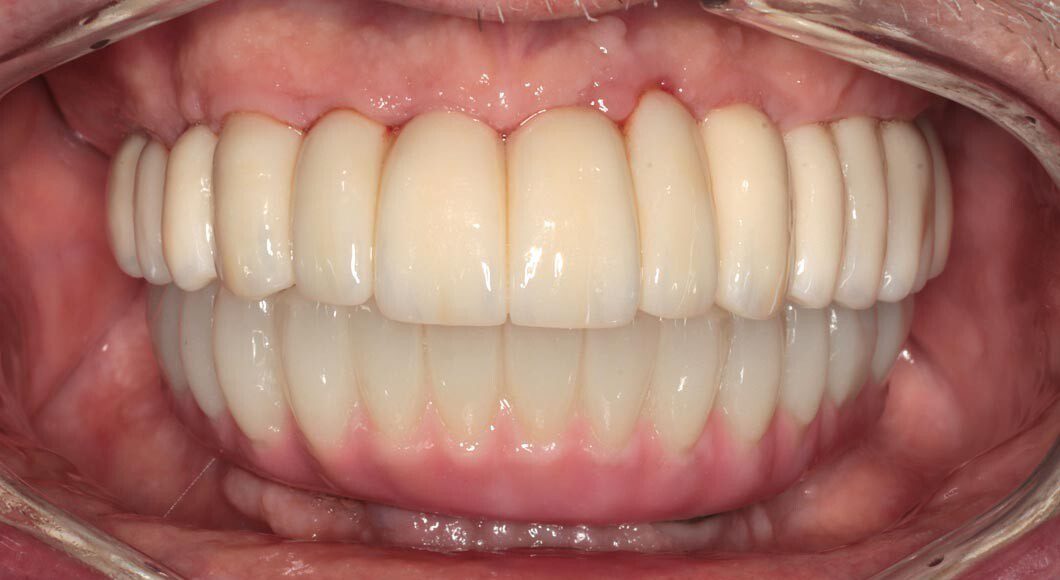
Prototype try-in, smile. The temporary bridges are removed and the prototypes placed. This is where the most scrutiny takes place as we want the patient and family to be thrilled with the appearance and bite. This is the last time changes can be made.





