
1 of 32
Pre-surgical view after removal of existing restorations. Existing implants were not perfect but reasonable. Better to use them than to try to remove and replace.
Post-surgical frontal picture. Some new implants were stable enough to place immediate temporary bridge on three new ones and two old ones.
Immediate temporary bridge in place on day of surgery. Note the tissues are barely disturbed. No bone or soft tissue removal.
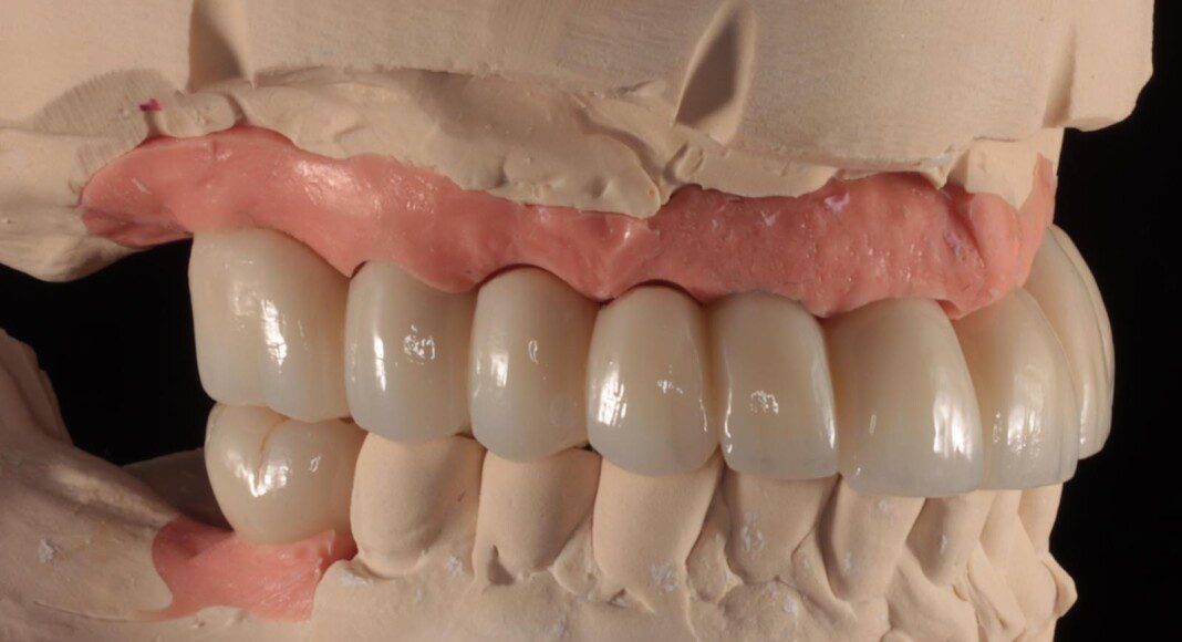
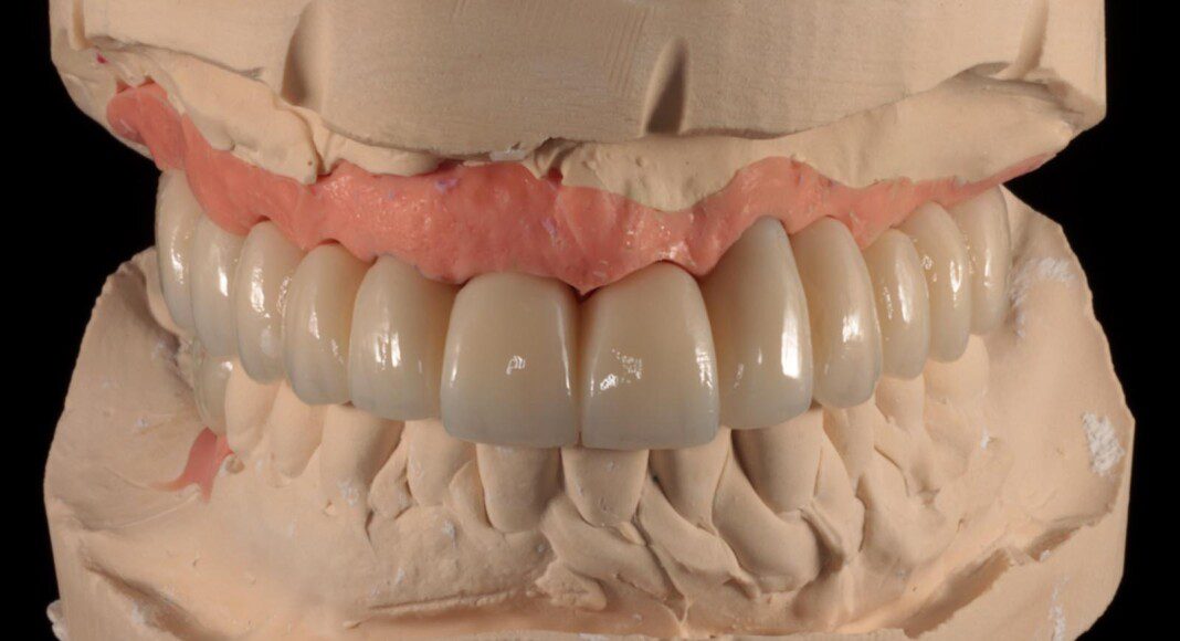
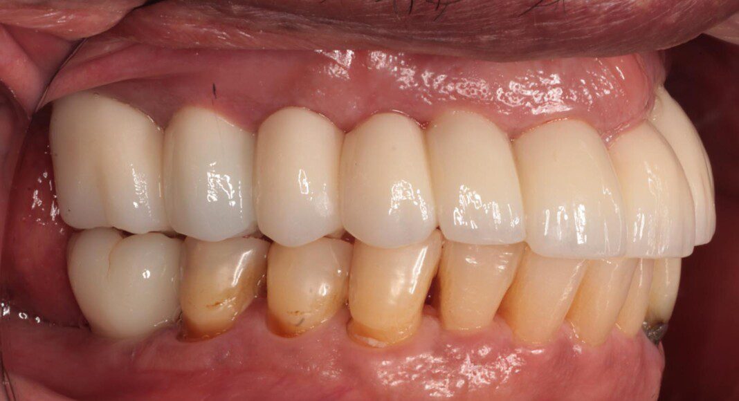
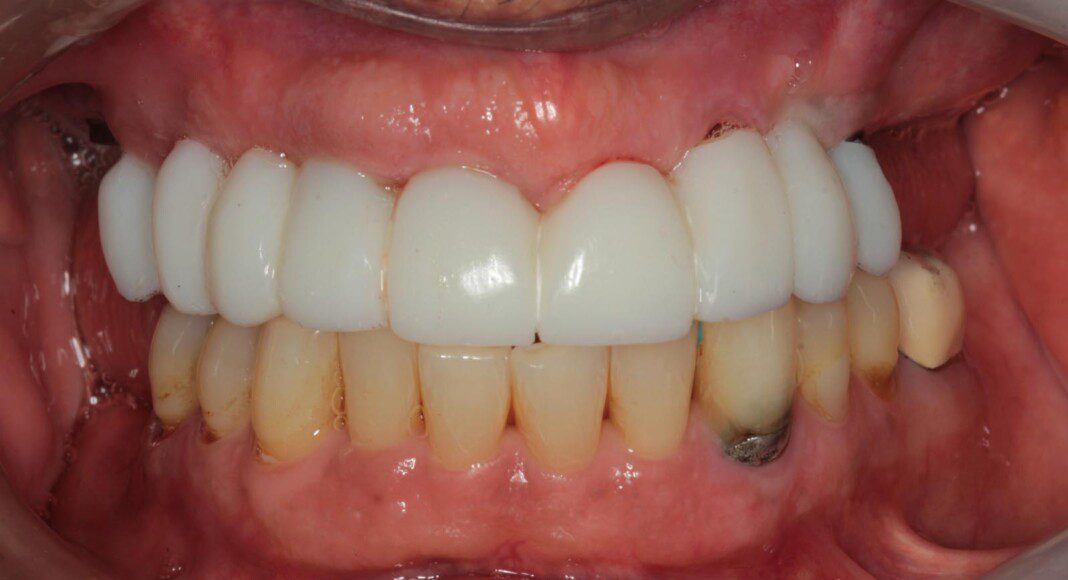
Prototype try-in. This patient was much more particular than we expected. Therefore, we made a very detailed prototype for everyone to evaluate closely. Pictures taken from all angles.
Prototype try-in. This patient was much more particular than we expected. Therefore, we made a very detailed prototype for everyone to evaluate closely. Pictures taken from all angles.
Prototype try-in. This patient was much more particular than we expected. Therefore, we made a very detailed prototype for everyone to evaluate closely. Pictures taken from all angles.
Prototype try-in. This patient was much more particular than we expected. Therefore, we made a very detailed prototype for everyone to evaluate closely. Pictures taken from all angles.
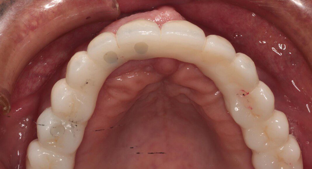
Zirconia bridge cemented to the titanium cylinders (tissue view) + one cemented unit on one old implant. The angle of this implant was too far forward. By cementing this one, we can still use it for retention and stability. Note the convex nature of the tissue interface for easy cleaning.
Zirconia bridge cemented to the titanium cylinders (tissue view) + one cemented unit on one old implant. The angle of this implant was too far forward. By cementing this one, we can still use it for retention and stability. Note the convex nature of the tissue interface for easy cleaning.
Zirconia bridge cemented to the titanium cylinders (tissue view) + one cemented unit on one old implant. The angle of this implant was too far forward. By cementing this one, we can still use it for retention and stability. Note the convex nature of the tissue interface for easy cleaning.
Zirconia bridge cemented to the titanium cylinders (tissue view) + one cemented unit on one old implant. The angle of this implant was too far forward. By cementing this one, we can still use it for retention and stability. Note the convex nature of the tissue interface for easy cleaning.
Left lateral (mirror) view of bridge. Existing implants (#s 10 and 12) are long. This is due to old implants being placed too deeply. As you will see in the smiling pictures, this does not adversely affect the outcome as the length of those teeth is not visible in his fullest smile.





