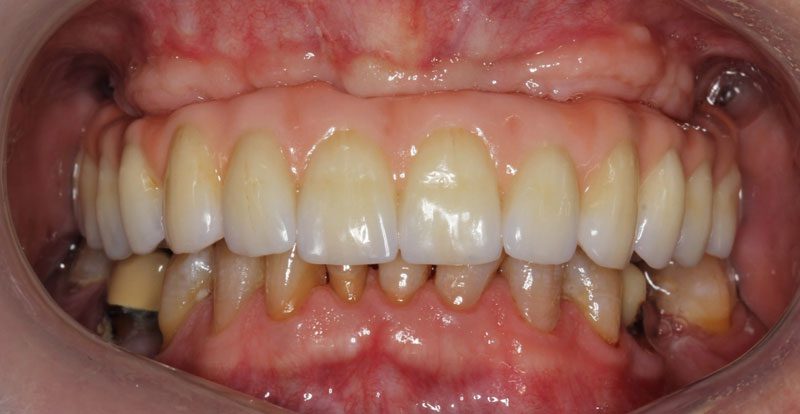
Because the popularity of the All-on-4 treatment (a non-removable denture fixed to 4 or more implants replacing all the teeth in one jaw), patients rarely hear of alternatives. There are two implant alternatives to the All-on-4 concept: Fixed Bridges on Implants and Removable Implant Dentures.
If we include the All-on-4 option, there are four total options for patients to replace all the teeth in one jaw. Many dental implant practices propose the extraction of all the teeth to make room for implants, even if there are several perfectly good teeth remaining in an arch. At the Dental Implant Center, we believe that ALL patients should receive ALL viable options. We also believe that good teeth are often still worth keeping. For those patients with no teeth or no good teeth, the four options described below can be considered.
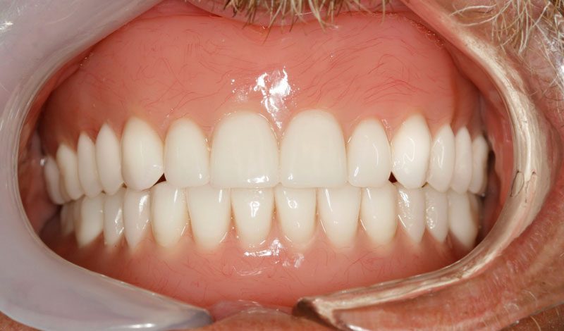
Option 1 – Bridges on Implants
This is the very best option any dentist can offer. This results in 2, 3 or 4 fixed/non-removable bridges attached directly to the implants. Advantages over All-on-4:
- Requires much less bone removal (often no bone removal)
- Look, feel and function like natural teeth
- Very little, if any speech changes
- Does not cover any part of the palate
- Can be cleaned just like bridges on teeth
- Have no unnatural contours or areas that cannot be cleaned
- Require no special abutments (All-on-4 protocol requires angle correction abutments which are not bone or gum tissue friendly)
- Usually do not need pink porcelain at the gumline (because aggressive bone removal is not necessary).


Option 2 – All-on-4
The technical names for this prosthesis are “hybrid” or “fixed-detachable”. It can be removed by an implant dentist when/if needed, but not by the patient. The popular names are “All-On-4” or “Teeth-in-a-Day”. These are sometimes done with 5 or 6 implants, depending on varying factors in a given patient’s anatomy. This is wildly popular, worldwide. Because of its popularity and potential profit margin there are many under-qualified dentists attempting it. These treatments result in a denture-type prosthesis that attaches (is screwed on) to multiple implants. It can be made of titanium/acrylic or zirconia. Tooth breakage is common if the material choice is wrong or if the patient has a strong bite, clenches or grinds. It is a very good option when done properly with the correct combination of materials. The final result is highly aesthetic, functional and comfortable.


Option 3 – Removable Implant Denture
This treatment results in a denture that snaps down onto the implants and is removed for daily cleansing. Together, the dentist and patient can determine just how much retention is right and adjust it anytime by changing the retention attachment snaps in the prosthesis. These snaps come in seven different strengths and allows us to adjust the amount of stability and retention.
Although this prosthesis can be supported by as few as just two implants, four is preferable. It is a very fine option that gives denture wearers exponentially more retention and stability. It is the least expensive of all implant options. The downside though is that it is large and requires follow up visits (every 3-18 months) to replace the attachment inserts. The cost for this service is low ($100-200).


Option 4 – Complete Dentures
Many people remember their grandparents or their parents having dentures in a cup. Most people struggle to use dentures because they move when the patient eats and speaks. There is nothing to retain it and nothing to keep it in place. People are constantly trying to balance their dentures as they are chewing, as they are speaking, or as they are laughing. This treatment is an old-fashioned style of tooth replacement. Although dentures can restore a the beauty of a smile, they are not very comfortable, nor are they very functional. For these reasons, this the least ideal option for people missing all of their teeth.
Most people know they don’t WANT dentures, but sometimes when there is either insufficient bone for implants, or when there are financial constraints, thankfully, they are still an option.

Frequently Asked Questions
What are the main alternatives to All-on-4 for full-arch tooth replacement?
Beyond the All-on-4 system, the primary alternatives include fixed bridges on implants (nonremovable), removable implant dentures (snap-on overdentures), and traditional complete dentures when implants are not feasible.
Why might fixed bridges on implants be a better choice than All-on-4?
Fixed bridges on implants often require less bone removal, avoid special angled abutments, feel and function more like natural teeth, and allow easier hygiene than All-on-4 hybrids.
What is a removable implant denture, and how does it compare to All-on-4?
A removable implant denture (overdenture) snaps onto implants using attachment snaps and can be taken out for cleaning, typically offering good retention at lower cost, though it requires occasional maintenance of the snap attachment inserts.
When is a traditional complete denture still considered as an option?
Complete dentures are used when there is insufficient bone for implants or due to financial constraints, though they generally lack stability and comfort compared to implant-supported options.
How many implants are typically needed for a removable implant denture?
Although as few as two implants may support a removable overdenture, four implants are preferred for better stability and retention.
What are the disadvantages or risks associated with the All-on-4 option?
Some risks include prosthetic tooth breakage (especially with incorrect materials), challenging cleaning areas, and dependence on angled abutments which may stress surrounding tissue or bone.
Does choosing fixed bridges on implants always require extraction of remaining teeth?
No — unlike some practices that extract all remaining teeth to make room for implants, this clinic supports preserving viable teeth when possible and presenting all viable options.



